Glassy cell carcinoma of the cervix

Glassy cell carcinoma of the cervix
Other namesGlassy cell carcinoma
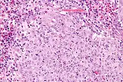
Micrograph of a glassy cell carcinoma of the cervix. H&E stain.
SpecialtyOncology Edit this on Wikidata

Glassy cell carcinoma of the cervix, also glassy cell carcinoma, is a rare aggressive malignant tumour of the uterine cervix.[1] The tumour gets its name from its microscopic appearance; its cytoplasm has a glass-like appearance.

Signs and symptoms

The signs and symptoms are similar to other cervical cancers and may include post-coital bleeding and/or pain during intercourse (dyspareunia). Early lesions may be completely asymptomatic.

Cause

Diagnosis

The diagnosis is based on tissue examination, e.g. biopsy.

Under the microscope, glassy cell carcinoma tumours are composed of cells with a glass-like cytoplasm, typically associated with an inflammatory infiltrate abundant in eosinophils and very mitotically active. PAS staining highlights the plasma membrane.[2]

Treatment

The treatment is dependent on the stage. Advanced tumours are treated with surgery (radical hysterectomy and bilateral salpingo-opherectomy), radiation therapy and chemotherapy.[2]

See also

Additional images

References

  1. ^ Nasu, K.; Takai, N.; Narahara, H. (Jun 2009). "Multimodal treatment for glassy cell carcinoma of the uterine cervix". Journal of Obstetrics and Gynaecology Research. 35 (3): 584–7. doi:10.1111/j.1447-0756.2008.00968.x. PMID 19527406. S2CID 23501330.
  2. ^ a b Deshpande, AH.; Kotwal, MN.; Bobhate, SK. (2004). "Glassy cell carcinoma of the uterine cervix a rare histology. Report of three cases with a review of the literature". Indian J Cancer. 41 (2): 92–5. doi:10.4103/0019-509X.12353. hdl:1807/2939. PMID 15318016. S2CID 8377065.

Further reading

  • Greer, Benjamin E.; Koh, Wui-Jin; Abu-Rustum, Nadeem; Bookman, Michael A.; Bristow, Robert E.; Campos, Susana M.; Cho, Kathleen R.; Copeland, Larry; Crispens, Marta Ann; Eifel, Patricia J.; Huh, Warner K.; Jaggernauth, Wainwright; Kapp, Daniel S.; Kavanagh, John J.; Lurain, John R.; Morgan, Mark; Morgan, Robert J.; Powell, C. Bethan; Remmenga, Steven W.; Reynolds, R. Kevin; Secord, Angeles Alvarez; Small, William; Teng, Nelson (1 May 2009). "Uterine Neoplasms". Journal of the National Comprehensive Cancer Network. 7 (5): 498–531. doi:10.6004/jnccn.2009.0035. ISSN 1540-1405. PMID 19460278. Retrieved 19 July 2017.