Hidradenitis suppurativa

Hidradenitis suppurativa
Other namesAcne inversa, apocrine acne, Verneuil's disease, Velpeau's disease[1]
Hidradenitis suppurativa (Hurley's stage II) in the left armpit
SpecialtyDermatology
SymptomsMultiple inflamed and swollen skin lesions[2]
Usual onsetChildhood and Young adulthood[2]
DurationLong-term[2]
TypesStage I, II, III[1]
CausesUnknown[3]
Diagnostic methodBased on symptoms[2]
Differential diagnosisAcne, acne conglobata, pilonidal cysts[2]
TreatmentWarm baths, laser therapy, surgery[2][4]
MedicationSecukinumab, antibiotics, immunosuppressive medication[2]
Frequency1–4% of people, when mild cases are included[2][3]
DeathsRare[1]
A case of hidradenitis suppurativa
Hidradenitis suppurativa can take the form of growths on the skin that are extremely painful and debilitating.

Hidradenitis suppurativa (HS), sometimes known as acne inversa or Verneuil's disease, is a long-term dermatological condition characterized by the occurrence of inflamed and swollen lumps.[2][3] These are typically painful and break open, releasing fluid or pus.[3] The areas most commonly affected are the underarms, under the breasts, perineum, buttocks, and the groin.[1] Scar tissue remains after healing.[1] HS may significantly limit many everyday activities, for instance, walking, hugging, moving, and sitting down. Sitting disability may occur in patients with lesions in the sacral, gluteal, perineal, femoral, groin or genital regions. Prolonged periods of sitting down can also worsen the condition of the skin of these patients.[5][6][7][8][9]

The exact cause is usually unclear but believed to involve a combination of genetic and environmental factors.[3] About a third of people with the disease have an affected family member.[3] Other risk factors include obesity and smoking.[3] The condition is not caused by an infection, poor hygiene, or the use of deodorant.[3][4] Instead, it is believed to be caused by hair follicles being obstructed,[10][1] with the nearby apocrine sweat glands being strongly implicated in this obstruction.[1][11] The sweat glands may or may not be inflamed.[1] Diagnosis is based on the symptoms.[2]

No cure is known,[4] though surgical excision with wet-to-dry dressings, proper wound care, and warm baths or showering with a pulse-jet shower may be used in those with mild disease.[4] Cutting open the lesions to allow them to drain does not result in significant benefit.[2] While antibiotics are commonly used, evidence for their use is poor.[4] Immunosuppressive medication may also be tried.[2] In those with more severe disease, laser therapy or surgery to remove the affected skin may be viable.[2] Rarely, a skin lesion may develop into skin cancer.[3]

If mild cases of HS are included, then the estimate of its frequency is from 1–4% of the population.[2][3] Women are three times more likely to be diagnosed with it than men.[2] Onset is typically in young adulthood and may become less common after 50 years old.[2] It was first described between 1833 and 1839 by French anatomist Alfred Velpeau.[1][12]

Terminology

Although hidradenitis suppurativa is often called acne inversa, it is not a form of acne. Hidradenitis suppurativa lacks the core defining features of acne, such as the presence of closed comedones and increased sebum production.[13]

Causes

The exact cause of hidradenitis suppurativa remains unknown,[11][14] and there has, in the recent past, been notable disagreement among experts in this regard.[15] The condition, however, likely stems from both genetic and environmental causes.[3] Specifically, an immune-mediated pathology has been proposed,[11] although environmental factors have not been ruled out.[3]

Lesions will occur in any body area with hair follicles,[15] and/or sweat glands.[16] Areas such as the axilla, groin, and perineal region are more commonly involved. This theory includes most of these potential indicators:[17]

The historical understanding of the disease suggests dysfunctional apocrine glands[19] or dysfunctional hair follicles,[20] possibly triggered by a blocked gland, which creates inflammation, pain, and a swollen lesion.

Triggering factors

Several triggering factors should be taken into consideration:

Predisposing factors

Some cases have been found to result from mutations in the NCSTN, PSEN1, or PSENEN genes. The genes produce proteins that are all components of a complex called gamma- (γ-) secretase. This complex cuts apart (cleaves) many different proteins, which is a crucial step in several chemical signaling pathways. One of these pathways, known as notch signaling, is essential for the normal maturation and division of hair follicle cells and other types of skin cells. Notch signaling influences normal immune system function. Studies suggest mutations in the NCSTN, PSEN1, or PSENEN genes impair notch signaling in hair follicles. Although little is known about the mechanism, abnormal notch signaling appears to promote the development of nodules and lead to skin inflammation.[33] In addition, the composition of the intestinal microflora and as a consequence dietary patterns appear to play a role. Although dysbiosis of the cutaneous microbiome apparent in HS is not observed, the concurrent existence of inflammatory gut and skin diseases has led to the hypothesis of a gut-skin axis in which gut microbiota is implicated. Indeed, analysis of bacterial taxa in fecal samples from HS patients supports the possibility of a role for intestinal microbial alterations in this chronic inflammatory skin disease.[34]

Precocious puberty is more common among children and adolescents with hidradenitis suppurativa (HS) compared to those without the condition, according to a recent case-control study.[35]

An analysis of the Explorys database revealed that pediatric patients with precocious puberty have double the risk of developing HS, even after adjusting for factors like demographic characteristics and body mass index (BMI).[36]

Diagnosis

Early diagnosis is essential in avoiding tissue damage. However, HS is often misdiagnosed or diagnosed late due to healthcare professionals not being aware of the condition or people not consulting with a physician.[37][38] Globally, the diagnosis is delayed more than 7 years in average after symptoms appear. This is much longer than with other skin conditions.[39]

Stages

Hidradenitis suppurativa stage III on abdomen: Skin is red and inflamed, constantly draining a malodorous blood/pus mixture. Pain is severe.
Hidradenitis suppurativa. This lesion is about 4 inches across.
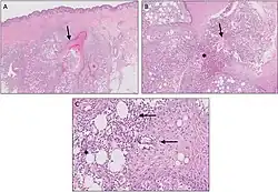
Micrograph of hidradenitis suppurativa: Sinus tracts [(A), arrow], active inflammation, and rupture [(B), asterisks] of the follicular epithelium with “floating” hair fragments (B), arrowSubsequently, a secondary inflammatory response is induced with an influx of numerous neutrophils [(C), arrows] and granulomatous foreign body reaction with giant cells [(C), asterisks].[40]

Hidradenitis suppurativa presents itself in three stages.[19][41] Due to the large spectrum of clinical severity and the severe impact on quality of life, a reliable method for evaluating HS severity is needed.

Hurley's staging system

Hurley's staging system was the first classification system proposed and is still in use for the classification of patients with skin diseases (i.e., psoriasis, HS, acne). Hurley separated patients into three groups based largely on the presence and extent of cicatrization and sinuses. It has been used as a basis for clinical trials in the past and to determine appropriate therapy for patients. These three stages are based on Hurley's staging system, which relies on the subjective extent of the diseased tissue. Hurley's three stages of hidradenitis suppurativa are:[42]

Stage Characteristics
I Solitary or multiple isolated abscess formation without scarring or sinus tracts (A few minor sites with rare inflammation; may be mistaken for acne.)
II Recurrent abscesses, single or multiple widely separated lesions, with sinus tract formation (Frequent inflammation restricts movement and may require minor surgery such as incision and drainage.)
III Diffuse or broad involvement across a regional area with multiple interconnected sinus tracts and abscesses (Inflammation of sites to the size of golf balls, or sometimes baseballs; scarring develops, including subcutaneous tracts of infection – see fistula. Obviously, patients at this stage may be unable to function.)

Sartorius staging system

The Sartorius staging system is more sophisticated than Hurley's. Sartorius et al. suggested that the Hurley system is not sophisticated enough to assess treatment effects in clinical trials during research. This classification allows for better dynamic monitoring of the disease severity in individual patients. The elements of this staging system are:[43]

  • Anatomic regions involved (axilla, groin, gluteal, or other region or inframammary region left or right)
  • Number and types of lesions involved (abscesses, nodules, fistulas or sinuses, scars, points for lesions of all regions involved)
  • The distance between lesions, in particular, the longest distance between two relevant lesions (i.e., nodules and fistulas in each region or size if only one lesion is present)
  • The presence of normal skin in between lesions (i.e., if all lesions are separated by normal skin)

Points are accumulated in the above categories and added to give a regional and total score. In addition, the authors recommend adding a visual analog scale for pain or using the dermatology life quality index (DLQI, or the 'skindex') when assessing HS.[44]

Treatment

Treatment depends upon the presentation and severity of the disease. Due to the poorly studied nature of the disease, the effectiveness of medications and therapies was unclear.[45] Clear and sensitive communication from health care professionals, and social and psychological interventions can help manage the emotional impact of the condition and aid necessary lifestyle changes.[37][38] In May 2023, the European Commission (EC) approved Cosentyx (secukinumab) for active moderate to severe hidradenitis suppurativa in adults.[46]

Other possible treatments include the following:

Cryotherapy

Cryotherapy has demonstrated efficacy against the disease, with 88% of persistent lesions resolving in a clinical trial of 23 patients.[47]

Lifestyle

Warm baths may be tried in those with mild disease.[4] Weight loss and smoking cessation are recommended.[2]

Medication

  • Antibiotics: taken by mouth, these are used for their anti-inflammatory properties rather than to treat infection. Most effective is a combination of rifampicin and clindamycin given concurrently for 2–3 months. Popular antibiotics also include tetracycline and minocycline.[48] Topical clindamycin has been shown to have an effect in double-blind placebo-controlled studies.[49] In a retrospective review and telephone survey, intravenous ertapenem therapy showed clinical improvement with 80.3% of subjects reporting medium to high satisfaction and 90.8% would recommend ertapenem to other patients.[50]
  • Corticosteroid injections, also known as intralesional steroids, can be useful for localized disease if the drug can be prevented from escaping via the sinuses.
  • Antiandrogen therapy, hormonal therapy with antiandrogenic medications such as spironolactone, flutamide, cyproterone acetate, ethinylestradiol, finasteride, dutasteride, and metformin, are effective in clinical studies.[51][52][53] However, the quality of available evidence is low and does not presently allow for robust evidence-based recommendations.[51][52]
  • Intravenous infusion or subcutaneous injection of anti-inflammatory (TNF inhibitors; anti-TNF-alpha) drugs such as infliximab, and etanercept[54] This use of these drugs is not currently approved in the United States by the Food and Drug Administration (FDA) and is somewhat controversial.
  • Biologics: Various biologics can improve HS lesions.[55] Specifically adalimumab at weekly intervals is useful.[56] Adalimumab and secukinumab[57][58] are both approved by the FDA for the treatment of HS as of 2023.
  • Topical isotretinoin is usually ineffective in people with HS, and is more commonly known as a medication for the treatment of acne vulgaris. Individuals affected by HS who responded to isotretinoin treatment tended to have milder cases of the condition.[59]
  • Zinc and nicotinamide, at doses of 90 mg and 30 mg respectively, have shown efficacy against mild to moderate hidradenitis suppurativa in a controlled retrospective clinical trial.[60]

Surgery

When the process becomes chronic, wide surgical excision is the procedure of choice.

Wounds in the affected area do not heal by secondary intention, and immediate or delayed application of a split-thickness skin graft is an option.[17] Another option is covering the defect with a perforator flap. With this technique, the (mostly totally excised) defect is covered with tissue from an area nearby. For example, the axilla with a fully excised defect of 15 × 7 cm can be covered with a thoracodorsal artery perforator flap.. A less invasive excision procedure called Skin-Tissue-sparing Excision with Electrosurgical Peeling or "STEEP" has also been developed for treating moderate to severe disease.[61]

Laser hair removal

The 1064 nm wavelength (near-infrared) laser for hair removal may aid in the treatment of HS.[62] A randomized control study has shown improvement in HS lesions with the use of a Nd:YAG laser.[63]

Botox injection

A 2022 study reported that administration of Botulinum toxin resulted in either clinical improvement or improved quality of life in 96.8% (n = 30/31) of HS patients. The level of evidence was moderate. It concluded that the treatment was a safe and potentially effective alternative for hidradenitis suppurativa patients resistant to standard-of-care therapies.[64]

Prognosis

Hidradenitis suppurativa stage III. Open lesions are extremely painful.
Hidradenitis suppurativa stage III. Inflamed lesion.

In stage III disease, as classified by Hurley's staging system, fistulae left undiscovered, undiagnosed, or untreated can rarely lead to the development of squamous cell carcinoma in the anus or other affected areas.[65][66] Other stage III chronic sequelae may also include anemia, multi-localized infections, amyloidosis, and arthropathy. Stage III complications have been known to lead to sepsis, but clinical data are still uncertain.

Comorbidities and complications

Endocrine diseases are more common in people who have HS.[67] Diabetes mellitus may be both a causal factor contributing to the evolution and/or severity of HS and a consequence of inflammation in HS.[32][68] Thyroid disorders are also more common in patients with HS.[69]

Impact on mental health

HS is a painful and socially isolating condition that leads to a negative impact on mental health as well. A 2020 meta-analysis found that 21% of people with HS have depression, including major depression and 12% have anxiety, including generalized anxiety disorder and a higher risk of suicide.[72][80] A 2020 study found that people with HS have suicide rates more than double the rates in controls, and also have a higher risk of attempting suicide.[81]

Epidemiology

Prevalence

Estimates of the prevalence of HS vary worldwide, and there is no accepted generalization. In the US, the prevalence is estimated to be 0.1% while in Europe it is thought to be 1% or more.[81]

Sex

In North America and Europe, women are three times more likely to have HS. However, in South Korea, men are twice as likely to have HS.[81]

Age

HS is the most prevalent in people in their 40s and 50s.[81]

History

  • From 1833 to 1839, in a series of three publications, Velpeau identified and described a disease now known as hidradenitis suppurativa.[82]
  • In 1854, Aristide Verneuil described hidradenitis suppurativa as hidrosadénite phlegmoneuse ("phlegmonous hidrosadenitis"). This is how HS obtained the name "Verneuil's disease".[83]
  • In 1922, Paul Schiefferdecker hypothesized a pathogenic link between "acne inversa" and human sweat glands.[84]
  • In 1956, Pillsbury et al.[85] coined the term follicular occlusion triad for the common association of hidradenitis suppurativa, acne conglobata and dissecting cellulitis of the scalp. Modern clinical research still employs Pillsbury's terminology for these conditions' descriptions.[86]
  • In 1975, Plewig and Kligman, following Pillsbury's research path, modified the "acne triad", replacing it with the "acne tetrad: acne triad, plus pilonidal sinus".[87] Plewig and Kligman's research follows in Pillsbury's footsteps, offering explanations of the symptoms associated with hidradenitis suppurativa.
  • In 1989, Plewig and Steger's research led them to rename hidradenitis suppurativa, calling it "acne inversa" – which is not still used today in medical terminology, although some individuals still use this outdated term.[88]

A surgeon from Paris, Velpeau, described an unusual inflammatory process with the formation of superficial axillary, submammary, and perianal abscesses, in a series of three publications from 1833 to 1839. One of his colleagues, also located in Paris, named Verneuil, coined the term hidrosadénite phlegmoneuse about 15 years later. This name for the disease reflects the former pathogenetic model of acne inversa, which considered inflammation of sweat glands as the primary cause of hidradenitis suppurativa. In 1922, Paul Schiefferdecker suspected a pathogenic association between acne inversa and apocrine sweat glands. In 1956, Pillsbury postulated follicular occlusion as the cause of acne inversa, which they grouped together with acne conglobata and perifolliculitis capitis abscendens et suffodiens ("dissecting cellulitis of the scalp") as the "acne triad". Plewig and Kligman added another element to their acne triad, pilonidal sinus. Plewig et al. noted that this new "acne tetrad" includes all the elements found in the original "acne triad", in addition to a fourth element, pilonidal sinus. In 1989, Plewig and Steger introduced the term "acne inversa", indicating a follicular source of the disease and replacing older terms such as "Verneuil disease".

Author Year Findings
Velpeau 1839 First description of hidradenitis suppurativa
Verneuil 1854 "Hidrosadénite phlegmoneuse"
Pillsbury 1956 Acne triad (hidradenitis suppurativa, perifolliculitis capitis abscendens et suffodiens, acne congoblata)
Plewig & Kligman 1975 Acne tetrad (acne triad + pilonidal sinus)
Plewig & Steger 1989 Acne inversa

Other names

Hidradenitis suppurativa has been referred to by multiple names in the literature and various cultures. Some of these are also used to describe different diseases or specific instances of this disease.[41]

  • Acne conglobata – not really a synonym – this is a similar process but in classic acne areas of the chest and back
  • Acne inversa – a proposed new term[89][90] which has not gained widespread favor.[91]
  • Apocrine acne – an outdated term based on the disproven concept that apocrine glands are primarily involved, though many do have apocrine gland infection
  • Apocrinitis – another outdated term based on the same thesis
  • Fox-den disease – a term not used in medical literature, based on the deep fox den–like sinuses
  • Hidradenitis supportiva – a misspelling
  • Pyodermia fistulans significa – now considered archaic
  • Verneuil's disease – recognizing the surgeon whose name is most often associated with the disorder as a result of his 1854–1865 studies[92]

Histology

Author Year Major features
Plewig & Steger[88] 1989 Initial hyperkeratosis of the follicular infundibulum. Bacterial super-infection and follicle rupture. Granulomatous inflammatory reaction of the connective tissue. Apocrine and eccrine sweat glands secondarily involved.
Yu & Cook[93] 1990 Cysts and sinus tracts lined with epithelium, in part with hair shafts. Inflammation of apocrine sweat glands only if eccrine sweat glands and hair follicles are also inflamed.
Boer & Weltevreden[94] 1996 Primary inflammation of the follicular infundibulum. Apocrine sweat glands are secondarily involved.

Society and culture

Experiences of people with HS

HS can have a strong negative impact on people's lives, as well as physical and mental health. People with HS often feel stigmatized and embarrassed by their condition. Many try to hide the symptoms, which can lead to impaired relationships and social isolation. A multidisciplinary approach by healthcare professionals, social support networks, and psychological interventions can contribute to a better quality of life.[37][38] Compared to other skin diseases, HS has one of the highest Dermatology Life Quality Index (DLQI) scores.[95]

References

  1. ^ a b c d e f g h i "Hidradenitis Suppurativa". NORD (National Organization for Rare Disorders). 2012. Archived from the original on 19 February 2017. Retrieved 26 October 2017.
  2. ^ a b c d e f g h i j k l m n o p q Jemec GB (January 2012). "Clinical practice. Hidradenitis suppurativa". The New England Journal of Medicine. 366 (2): 158–64. doi:10.1056/NEJMcp1014163. PMID 22236226.
  3. ^ a b c d e f g h i j k l m n "Hidradenitis suppurativa". Genetics Home Reference. December 2013. Archived from the original on 5 September 2017. Retrieved 27 October 2017.
  4. ^ a b c d e f "Hidradenitis suppurativa". rarediseases.info.nih.gov. 2017. Archived from the original on 28 July 2017. Retrieved 27 October 2017.
  5. ^ "Intergluteal contour deformity in hidradenitis suppurativa". Retrieved 18 May 2021.
  6. ^ Nazzaro G, Passoni E, Calzari P, Barbareschi M, Muratori S, Veraldi S, et al. (2019). "Color Doppler as a tool for correlating vascularization and pain in hidradenitis suppurativa lesions". Skin Research and Technology. 25 (6): 830–834. doi:10.1111/srt.12729. PMID 31140660. S2CID 169036038. Retrieved 18 May 2021.
  7. ^ Loh TY, Hendricks AJ, Hsiao JL, Shi VY (2021). "Undergarment and fabric selection in the management of hidradenitis suppurativa". Dermatology. 237 (1): 119–124. doi:10.1159/000501611. PMID 31466052. S2CID 201672889. Retrieved 18 May 2021.
  8. ^ Jemec G, Heidenheim M, Nielsen N (1996). "Hidradenitis suppurativa-characteristics and consequences". Clinical and Experimental Dermatology. 21 (6): 419–423. doi:10.1111/j.1365-2230.1996.tb00145.x. PMID 9167336. S2CID 25491238. Retrieved 18 May 2021.
  9. ^ "Psychosocial impact of hidradenitis suppurativa: a qualitative study". Retrieved 18 May 2021.
  10. ^ See section "Genetic Changes"[3]
  11. ^ a b c Pathophysiology of hidradenitis suppurativa (Seminal paper, SCMS Journal); NIH, National Library of Medicine, NCBI; 2017 Jun, 36(2):47–54.
  12. ^ Jemec G, Revuz J, Leyden JJ (2006). Hidradenitis Suppurativa. Springer Science & Business Media. p. 5. ISBN 978-3-540-33101-8. Archived from the original on 28 October 2017.
  13. ^ Dessinioti C, Katsambas A, Antoniou C (May–June 2014). "Hidradenitis suppurrativa (acne inversa) as a systemic disease". Clinics in Dermatology. 32 (3): 397–408. doi:10.1016/j.clindermatol.2013.11.006. PMID 24767187.
  14. ^ See section "Genetic Changes"[3]
  15. ^ a b Medline Plus (2012). "Hidradenitis suppurativa". U.S. National Library of Medicine. Archived from the original on 16 September 2012. Retrieved 19 September 2012.
  16. ^ Hopkins Medicine Staff (2024). "Inflamed/Infected Sweat Glands (Hidradenitis)". Johns Hopkins Medicine. Retrieved 27 March 2024.
  17. ^ a b Schawartz's Principles of Surgery, 8th edition, self-assessment, and board review, chapter 15, the skin and subcutaneous tissue, question 16
  18. ^ Mayo Clinic Staff (2012). "Definition". Mayo Clinic. Archived from the original on 10 September 2012. Retrieved 19 September 2012.
  19. ^ a b DermNet acne/hidradenitis-suppurativa
  20. ^ "HSF – What is Hidradenitis Suppurativa? What is HS?". Archived from the original on 6 July 2007. Retrieved 8 July 2007.
  21. ^ a b Slade DE, Powell BW, Mortimer PS (July 2003). "Hidradenitis suppurativa: pathogenesis and management". British Journal of Plastic Surgery. 56 (5): 451–61. doi:10.1016/S0007-1226(03)00177-2. PMID 12890458.
  22. ^ a b Jemec GBE. Body weight in hidradenitis suppurativa. In: Marks R, Plewig G, editors. Acne and Related Disorders. London: Martin Dunitz; 1989. pp. 375–6.
  23. ^ König A, Lehmann C, Rompel R, Happle R (1999). "Cigarette smoking as a triggering factor of hidradenitis suppurativa". Dermatology. 198 (3): 261–4. doi:10.1159/000018126. PMID 10393449. S2CID 25343489.
  24. ^ Morgan WP, Hughes LE (December 1979). "The distribution, size and density of the apocrine glands in hidradenitis suppurativa". The British Journal of Surgery. 66 (12): 853–6. doi:10.1002/bjs.1800661206. PMID 509057. S2CID 46448517.
  25. ^ Stellon AJ, Wakeling M (January 1989). "Hidradenitis suppurativa associated with use of oral contraceptives". BMJ. 298 (6665): 28–9. doi:10.1136/bmj.298.6665.28. PMC 1835363. PMID 2492847.
  26. ^ Acharya P, Mathur M (April 2020). "Hidradenitis suppurativa and smoking: A systematic review and meta-analysis". Journal of the American Academy of Dermatology. 82 (4): 1006–1011. doi:10.1016/j.jaad.2019.10.044. PMID 31678467. S2CID 207889793.
  27. ^ a b Scala E, Cacciapuoti S, Garzorz-Stark N, Megna M, Marasca C, Seiringer P, et al. (15 August 2021). "Hidradenitis Suppurativa: Where We Are and Where We Are Going". Cells. 10 (8): 2094. doi:10.3390/cells10082094. PMC 8392140. PMID 34440863.
  28. ^ Gupta AK, Knowles SR, Gupta MA, Jaunkalns R, Shear NH (February 1995). "Lithium therapy associated with hidradenitis suppurativa: case report and a review of the dermatologic side effects of lithium". Journal of the American Academy of Dermatology. 32 (2 Pt 2): 382–6. doi:10.1016/0190-9622(95)90410-7. PMID 7829746.
  29. ^ Hidradenitis Suppurativa at eMedicine
  30. ^ Von Der Werth JM, Williams HC, Raeburn JA (May 2000). "The clinical genetics of hidradenitis suppurativa revisited". The British Journal of Dermatology. 142 (5): 947–53. doi:10.1046/j.1365-2133.2000.03476.x. PMID 10809853. S2CID 35601570.
  31. ^ Barth JH, Kealey T (October 1991). "Androgen metabolism by isolated human axillary apocrine glands in hidradenitis suppurativa". The British Journal of Dermatology. 125 (4): 304–8. doi:10.1111/j.1365-2133.1991.tb14162.x. PMID 1954117. S2CID 34410437.
  32. ^ a b c Abu Rached N, Gambichler T, Ocker L, Dietrich JW, Quast DR, Sieger C, et al. (1 April 2023). "Screening for Diabetes Mellitus in Patients with Hidradenitis Suppurativa—A Monocentric Study in Germany". International Journal of Molecular Sciences. 24 (7): 6596. doi:10.3390/ijms24076596. ISSN 1422-0067. PMC 10094965. PMID 37047569.
  33. ^ Reference GH. "hidradenitis suppurativa". Genetics Home Reference. Archived from the original on 5 September 2017. Retrieved 5 September 2017.
  34. ^ Lam SY, Radjabzadeh D, Eppinga H, Nossent YR, van der Zee HH, Kraaij R, et al. (March 2021). "A microbiome study to explore the gut-skin axis in hidradenitis suppurativa". Journal of Dermatological Science. 101 (3): 218–220. doi:10.1016/j.jdermsci.2020.12.008. PMID 33423845. S2CID 231576248.
  35. ^ "Precocious Puberty More Common in Children with Hidradenitis Suppurativa". HCP Live. 23 September 2024. Retrieved 28 September 2024.
  36. ^ Mastacouris N, Midgette B, Strunk A, Garg A (18 September 2024). "Precocious Puberty Among Children and Adolescents With Hidradenitis Suppurativa". JAMA Dermatology. 160 (11): 1245–1246. doi:10.1001/jamadermatol.2024.3104. ISSN 2168-6068. PMC 11411440. PMID 39292442.
  37. ^ a b c "People with the skin condition, hidradenitis suppurativa, need earlier diagnoses, more treatment options and wider support". NIHR Evidence (Plain English summary). National Institute for Health and Care Research. 1 February 2022. doi:10.3310/alert_48917. S2CID 246548949.
  38. ^ a b c Howells L, Lancaster N, McPhee M, Bundy C, Ingram J, Leighton P, et al. (29 May 2021). "Thematic synthesis of the experiences of people with hidradenitis suppurativa: a systematic review*". British Journal of Dermatology. 185 (5): 921–934. doi:10.1111/bjd.20523. ISSN 0007-0963. PMID 34050935. S2CID 235242411.
  39. ^ Saunte D, Boer J, Stratigos A, Szepietowski J, Hamzavi I, Kim K, et al. (21 July 2015). "Diagnostic delay in hidradenitis suppurativa is a global problem". British Journal of Dermatology. 173 (6): 1546–1549. doi:10.1111/bjd.14038. PMID 26198191. S2CID 41589200.
  40. ^ Giang J, Seelen MA, van Doorn MB, Rissmann R, Prens EP, Damman J (2018). "Complement Activation in Inflammatory Skin Diseases". Frontiers in Immunology. 9: 639. doi:10.3389/fimmu.2018.00639. ISSN 1664-3224. PMC 5911619. PMID 29713318.
  41. ^ a b "HS-USA:: What is Hidradenitis Suppurativa?". Archived from the original on 17 June 2013. Retrieved 20 July 2013.
  42. ^ Hurley HJ. Axillary hyperhidrosis, apocrine bromhidrosis, hidradenitis suppurativa, and familial benign pemphigus: surgical approach. In: Roenigk RK, Roenigk HH, editors. Dermatologic surgery. Marcel Dekker, New York, 1989, pp. 729–739.
  43. ^ Sartorius K, Lapins J, Emtestam L, Jemec GB (July 2003). "Suggestions for uniform outcome variables when reporting treatment effects in hidradenitis suppurativa". The British Journal of Dermatology. 149 (1): 211–3. doi:10.1046/j.1365-2133.2003.05390.x. PMID 12890229. S2CID 46142606.
  44. ^ Wolkenstein P, Loundou A, Barrau K, Auquier P, Revuz J (April 2007). "Quality of life impairment in hidradenitis suppurativa: a study of 61 cases". Journal of the American Academy of Dermatology. 56 (4): 621–3. doi:10.1016/j.jaad.2006.08.061. PMID 17097366.
  45. ^ Ingram JR, Woo PN, Chua SL, Ormerod AD, Desai N, Kai AC, et al. (May 2016). "Interventions for hidradenitis suppurativa: a Cochrane systematic review incorporating GRADE assessment of evidence quality". The British Journal of Dermatology. 174 (5): 970–8. doi:10.1111/bjd.14418. PMC 5021164. PMID 26801356.
  46. ^ Sharma R (1 June 2023). "Novartis Cosentyx gets European Commission nod for use in adults with hidradenitis suppurativa". medicaldialogues.in. Retrieved 1 June 2023.
  47. ^ Dell'Antonia M, Anedda J, Tatti A, Falco A, Sanna S, Ferreli C, et al. (April 2023). "Non-surgical treatment of hidradenitis suppurativa: the role of cryotherapy". Frontiers in Medicine. 10. doi:10.3389/fmed.2023.1141691. PMC 10151524. PMID 37144039.
  48. ^ Scheinfeld N (April 2013). "Hidradenitis suppurativa: A practical review of possible medical treatments based on over 350 hidradenitis patients". Dermatology Online Journal. 19 (4): 1. doi:10.5070/D35VW402NF. PMID 24021361.
  49. ^ Clemmensen OJ (June 1983). "Topical treatment of hidradenitis suppurativa with clindamycin". International Journal of Dermatology. 22 (5): 325–8. doi:10.1111/j.1365-4362.1983.tb02150.x. PMID 6347922. S2CID 46661288.
  50. ^ Nosrati A, Ch'en PY, Torpey ME, Shokrian N, Ball G, Benesh G, et al. (14 February 2024). "Efficacy and Durability of Intravenous Ertapenem Therapy for Recalcitrant Hidradenitis Suppurativa". JAMA Dermatology. doi:10.1001/jamadermatol.2023.6201. PMC 10867774. PMID 38353987.{{cite journal}}: CS1 maint: overridden setting (link)
  51. ^ a b Nikolakis G, Kyrgidis A, Zouboulis CC (2019). "Is There a Role for Antiandrogen Therapy for Hidradenitis Suppurativa? A Systematic Review of Published Data". American Journal of Clinical Dermatology. 20 (4): 503–513. doi:10.1007/s40257-019-00442-w. ISSN 1175-0561. PMID 31073704. S2CID 149443722.
  52. ^ a b Goldburg SR, Strober BE, Payette MJ (2019). "Part 2. Current and emerging treatments for hidradenitis suppurativa". Journal of the American Academy of Dermatology. 82 (5): 1061–1082. doi:10.1016/j.jaad.2019.08.089. ISSN 0190-9622. PMID 31604100. S2CID 204331143.
  53. ^ Student S, Hejmo T, Poterała-Hejmo A, Leśniak A, Bułdak R (2020). "Anti-androgen hormonal therapy for cancer and other diseases". European Journal of Pharmacology. 866 172783. doi:10.1016/j.ejphar.2019.172783. ISSN 0014-2999. PMID 31712062.
  54. ^ Cusack C, Buckley C (April 2006). "Etanercept: effective in the management of hidradenitis suppurativa". The British Journal of Dermatology. 154 (4): 726–729. doi:10.1111/j.1365-2133.2005.07067.x. PMID 16536817. S2CID 23743987.
  55. ^ Haslund P, Lee RA, Jemec GB (November 2009). "Treatment of hidradenitis suppurativa with tumour necrosis factor-alpha inhibitors". Acta Dermato-Venereologica. 89 (6): 595–600. doi:10.2340/00015555-0747. PMID 19997689.
  56. ^ Ingram JR (May 2017). "Interventions for Hidradenitis Suppurativa: Updated Summary of an Original Cochrane Review". JAMA Dermatology. 153 (5): 458–459. doi:10.1001/jamadermatol.2017.0432. PMID 28355440.
  57. ^ "FDA approves Novartis Cosentyx® as the first new biologic treatment option for hidradenitis suppurativa patients in nearly a decade" (Press release). Novartis. 31 October 2023. Retrieved 7 August 2025.
  58. ^ "What is hidradenitis suppurativa (HS)?". Cosentyx (secukinumab). Novartis. Retrieved 7 August 2025.
  59. ^ Nickle SB, Peterson N, Peterson M (April 2014). "Updated Physician's Guide to the Off-label Uses of Oral Isotretinoin". The Journal of Clinical and Aesthetic Dermatology. 7 (4): 22–34. PMC 3990537. PMID 24765227.
  60. ^ Molinelli E, Brisigotti V, Campanati A, Sapigni C, Giacchetti A, Cota C, et al. (August 2020). "Efficacy of oral zinc and nicotinamide as maintenance therapy for mild/moderate hidradenitis suppurativa: A controlled retrospective clinical study". Journal of the American Academy of Dermatology. 83 (2): 665–667. doi:10.1016/j.jaad.2020.04.092. PMID 32339699.
  61. ^ Blok J, Spoo J, Leeman F, Jonkman M, Horváth B (February 2015). "Skin-Tissue-sparing Excision with Electrosurgical Peeling (STEEP): a surgical treatment option for severe hidradenitis suppurativa Hurley stage II/III". Journal of the European Academy of Dermatology and Venereology. 29 (2): 379–382. doi:10.1111/jdv.12376. PMID 24460855. S2CID 21974148.
  62. ^ Scheinfeld N (April 2013). "Hidradenitis suppurativa: A practical review of possible medical treatments based on over 350 hidradenitis patients". Dermatology Online Journal. 19 (4): 1. doi:10.5070/D35VW402NF. PMID 24021361. Archived from the original on 6 March 2014. Retrieved 4 March 2014.
  63. ^ Xu LY, Wright DR, Mahmoud BH, Ozog DM, Mehregan DA, Hamzavi IH (January 2011). "Histopathologic study of hidradenitis suppurativa following long-pulsed 1064-nm Nd:YAG laser treatment". Archives of Dermatology. 147 (1): 21–8. doi:10.1001/archdermatol.2010.245. PMID 20855672.
  64. ^ Ravi M, Trinidad J (2022). "Botulinum Toxin in Hidradenitis Suppurativa: A Systematic Review". Journal of Drugs in Dermatology. 21 (4): 408–412. PMID 35389587.
  65. ^ Talmant JC, Bruant-Rodier C, Nunziata AC, Rodier JF, Wilk A (February 2006). "Dégénérescence de maladie de Verneuil en carcinome épidermoïde : à propos de 2 cas et revue de la littérature" [Squamous cell carcinoma arising in Verneuil's disease: two cases and literature review]. Annales de Chirurgie Plastique et Esthétique (in French). 51 (1): 82–86. doi:10.1016/j.anplas.2005.11.002. PMID 16488526.
  66. ^ Short KA, Kalu G, Mortimer PS, Higgins EM (September 2005). "Vulval squamous cell carcinoma arising in chronic hidradenitis suppurativa". Clinical and Experimental Dermatology. 30 (5): 481–483. doi:10.1111/j.1365-2230.2005.01875.x. PMID 16045671. S2CID 33438993.
  67. ^ Abu Rached N, Gambichler T, Dietrich JW, Ocker L, Seifert C, Stockfleth E, et al. (3 December 2022). "The Role of Hormones in Hidradenitis Suppurativa: A Systematic Review". International Journal of Molecular Sciences. 23 (23): 15250. doi:10.3390/ijms232315250. PMC 9736970. PMID 36499573.
  68. ^ a b Abu Rached N, Dietrich JW, Ocker L, Quast DR, Stockfleth E, Bechara FG (6 August 2024). "Diabetes remission associated with optimized treatment of hidradenitis suppurativa". Journal der Deutschen Dermatologischen Gesellschaft [Journal of the German Society of Dermatology]. 22 (10): 1427–1429. doi:10.1111/ddg.15490. PMID 39106221.
  69. ^ Abu Rached N, Dietrich JW, Ocker L, Quast DR, Scheel C, Gambichler T, et al. (4 December 2023). "Primary Thyroid Dysfunction Is Prevalent in Hidradenitis Suppurativa and Marked by a Signature of Hypothyroid Graves' Disease: A Case-Control Study". Journal of Clinical Medicine. 12 (23): 7490. doi:10.3390/jcm12237490. PMC 10707714. PMID 38068542.
  70. ^ Abu Rached N, Dietrich JW, Ocker L, Stockfleth E, Haven Y, Myszkowski D, et al. (21 March 2025). "Endotyping Insulin–Glucose Homeostasis in Hidradenitis Suppurativa: The Impact of Diabetes Mellitus and Inflammation". Journal of Clinical Medicine. 14 (7): 2145. doi:10.3390/jcm14072145. PMC 11990022. PMID 40217596.
  71. ^ Phan K, Charlton O, Smith SD (February 2020). "Hidradenitis suppurativa and polycystic ovarian syndrome: Systematic review and meta-analysis". The Australasian Journal of Dermatology. 61 (1): e28–33. doi:10.1111/ajd.13110. PMID 31261440.
  72. ^ a b c d e f Garg A, Malviya N, Strunk A, Wright S, Alavi A, Alhusayen R, et al. (May 2022). "Comorbidity screening in hidradenitis suppurativa: Evidence-based recommendations from the US and Canadian Hidradenitis Suppurativa Foundations". Journal of the American Academy of Dermatology. 86 (5): 1092–1101. doi:10.1016/j.jaad.2021.01.059. PMC 8298595. PMID 33493574. Retrieved 10 April 2025.{{cite journal}}: CS1 maint: overridden setting (link)
  73. ^ Hurley HJ (1979). Apocrine glands. New York: McGraw Hill.
  74. ^ Tennant F, Bergeron JR, Stone OJ, Mullins JF (August 1968). "Anemia associated with hidradenitis suppurativa". Archives of Dermatology. 98 (2): 138–40. doi:10.1001/archderm.98.2.138. PMID 5667225.
  75. ^ Schneeweiss MC, Kim SC, Schneeweiss S, Rosmarin D, Merola JF (2020). "Risk of inflammatory arthritis after a new diagnosis of hidradenitis suppurativa". JAMA Dermatology. 156 (3): 342–345. doi:10.1001/jamadermatol.2019.4590. PMC 6990727. PMID 31968066.
  76. ^ Williams ST, Busby RC, DeMuth RJ, Nelson H (May 1991). "Perineal hidradenitis suppurativa: presentation of two unusual complications and a review". Annals of Plastic Surgery. 26 (5): 456–462. doi:10.1097/00000637-199105000-00008. PMID 1952719.
  77. ^ Lapins J, Ye W, Nyrén O, Emtestam L (June 2001). "Incidence of cancer among patients with hidradenitis suppurativa". Archives of Dermatology. 137 (6): 730–734. PMID 11405761.
  78. ^ Moschella SL (October 1966). "Hidradenitis suppurativa. Complications resulting in death". JAMA. 198 (1): 201–203. doi:10.1001/jama.198.1.201. PMID 5953172.
  79. ^ Vasey FB, Fenske NA, Clement GB, Bridgeford PH, Germain BF, Espinoza LR (1984). "Immunological studies of the arthritis of acne conglobata and hidradenitis suppurativa". Clinical and Experimental Rheumatology. 2 (4): 309–311. PMID 6241861.
  80. ^ Jalenques I, Ciortianu L, Pereira B, D'Incan M, Lauron S, Rondepierre F (25 March 2020). "The prevalence and odds of anxiety and depression in children and adults with hidradenitis suppurativa: Systematic review and meta-analysis". Journal of the American Academy of Dermatology. 83 (2): 542–553. doi:10.1016/j.jaad.2020.03.041. PMID 32222447. S2CID 214716227.
  81. ^ a b c d Ingram JR (3 September 2020). "The epidemiology of hidradenitis suppurativa". British Journal of Dermatology. 183 (6): 990–998. doi:10.1111/bjd.19435. ISSN 0007-0963. PMID 32880911. S2CID 221475227.
  82. ^ Velpeau A (1839). "Aisselle" [Armpit]. Dictionnaire de médecine, ou Répertoire générale des sciences médicales considérées sous le rapport théorique et pratique (in French). Paris: Bechet Jeune.
  83. ^ Verneuil AS (1854). "Études sur les tumeurs de la peau et quelques maladies de glandes sudoripares" [Studies on skin tumors; some diseases of the sweat glands]. Archives of General Medicine (in French). 94: 693–705.
  84. ^ Schiefferdecker P (1922). Die Hautdrüsen der Menschen und der Säugetiere, ihre bioologische und rassenanatomische Bedeutung sowie die Muscularis sexualis [The skin glands of humans and mammals, their bioological and anatomical racial meaning and sexual muscle]. Zoologica. Vol. 72. Stuttgart: E. Schweizerbart.
  85. ^ Pillsbury DM, Shelley WB, Kligmann AM (1956). "Bacterial infections of the skin". In Pillsbury DM (ed.). Dermatoloy (1st ed.). Philadelphia. pp. 482–489.{{cite book}}: CS1 maint: location missing publisher (link)
  86. ^ Agrawal PG, Khopkar US, Mahajan SA, Mishra SN (September–October 2013). "Triads in Dermatology". Indian Journal of Dermatology. 58 (5): 346–351.
  87. ^ Plewig G, Kligman AM (1975). "Acne Conglobata". In Plewig G, Kligman AM (eds.). Acne. pp. 168–203. doi:10.1007/978-3-642-96246-2_11. ISBN 978-3-642-96246-2.
  88. ^ a b Plewig G, Steger M (1989). "Acne inversa (alias acne triad, acne tetrad or hidradenitis suppurativa)". In Marks R, Plewig G (eds.). Acne and Related Disorders. London: Martin Dunitz. pp. 345–357.
  89. ^ Sellheyer K, Krahl D (July 2005). "'Hidradenitis suppurativa' is acne inversa! An appeal to (finally) abandon a misnomer". International Journal of Dermatology. 44 (7): 535–540. doi:10.1111/j.1365-4632.2004.02536.x. PMID 15985019. S2CID 34144101.
  90. ^ Bazex J, Bayle P, San B (March 2007). "Hidradenitis suppurativa is acne inversa". International Journal of Dermatology. 46 (3): 330. doi:10.1111/j.1365-4632.2007.02872.x. PMID 17343599. S2CID 43108078.
  91. ^ Scheinfeld N (December 2006). "Hidradenitis should not be renamed acne inversa". Dermatology Online Journal. 12 (7): 6. doi:10.5070/D35G21T4MQ. PMID 17459292.
  92. ^ Verneuil AS (1854). "Études sur les tumor de la peau". Archives générales de médecine (in French). 94: 693.
  93. ^ Yu CC, Cook MG (June 1990). "Hidradenitis suppurativa: a disease of follicular epithelium, rather than apocrine glands". The British Journal of Dermatology. 122 (6): 763–769. doi:10.1111/j.1365-2133.1990.tb06264.x. PMID 2369556. S2CID 8857181.
  94. ^ Boer J, Weltevreden EF (November 1996). "Hidradenitis suppurativa or acne inversa. A clinicopathological study of early lesions". The British Journal of Dermatology. 135 (5): 721–725. doi:10.1111/j.1365-2133.1996.tb03880.x (inactive 17 July 2025). PMID 8977671.{{cite journal}}: CS1 maint: DOI inactive as of July 2025 (link)
  95. ^ van Straalen KR, Prens EP, Gudjonsson JE (April 2022). "Insights into hidradenitis suppurativa". The Journal of Allergy and Clinical Immunology. 149 (4): 1150–1161. doi:10.1016/j.jaci.2022.02.003. PMID 35189127. S2CID 247006893.