Histopathologic diagnosis of dermatitis

Histopathology of dermatitis can be performed in uncertain cases of inflammatory skin condition that remain uncertain after history and physical examination.[1]

Sampling

Generally a skin biopsy:

  • For punch biopsies, a size of 4 mm is preferred for most inflammatory dermatoses.[2]
  • Panniculitis or cutaneous lymphoproliferative disorders: 6 mm punch biopsy or skin excision.[2]

A superficial or shave biopsy is regarded as insufficient.[2]

Fixation

  • Generally: Buffered 4% formaldehyde.[3]
  • In suspected immunologic disease:[4] Fixation for immunofluorescence, with for example Michel's solution.[3] For details, see immunofluorescense of skin tissues

Staining

Generally 3 sections for H&E staining and one section with periodic acid Schiff (PAS)[notes 1][2]

  • If suspected bacterial and fungal microorganisms, consider Gram stain and Gomori methenamine silver stain.[2]

Microscopic evaluation

One approach is to classify into mainly either of the following, primarily based on depth of involvement:[2]

  • Epidermis, papillary dermis, and superficial vascular plexus:
  • Vesiculobullous lesions
  • Pustular dermatosis
  • Non vesicullobullous, non-pustular
  • With epidermal changes
  • Without epidermal changes. These characteristically have a superficial perivascular inflammatory infiltrate, and can be classified by type of cell infiltrate:[2]
  • Lymphocytic (most common)
  • Lymphoeosinophilic
  • Lymphoplasmacytic
  • Mast cell
  • Lymphohistiocytic
  • Neutrophilic

Continue in corresponding section:

Non vesicullobullous, non-pustular lesions with epidermal changes

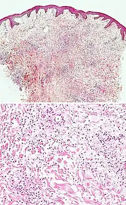
Spongiotic dermatitis

It is characterized by epithelial intercellular edema.[2]

Characteristics Micrograph Photograph
Acute Subacute Chronic
Generally/Not otherwise specified[notes 2] Typical findings:[2]
  • Variable degree of epidermal spongiosis and vesicle formation, filled with proteinaceous fluid containing lymphocytes and histiocytes.
  • Usually superficial dermal edema with perivascular lymphocytic infiltrate, with exocytosis.
  • No acanthosis or parakeratosis.
Typical findings:[2]
  • Mild to moderate spongiosis and exocytosis of inflammatory cells
  • Irregular acanthosis and parakeratosis.
  • Superficial dermal perivascular lymphohistiocytic infiltrate
  • Swelling of endothelial cells
  • Papillary dermal edema are present
Typical findings:[2]
  • The spongiosis is mild to absent
  • Pronounced irregular acanthosis, hyperkeratosis, and parakeratosis
  • Minimal dermal inflammation and exocytosis of inflammatory cells are present.
  • Possibly fibrosis of papillary dermis

PAS stain is essential to exclude fungal infection.[2]

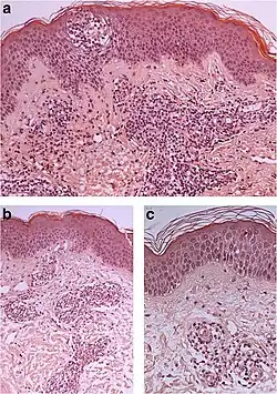
Subacute
Allergic/contact dermatitis or atopic dermatitis As above. Eosinophils may be present in the dermis and epidermis (eosinophilic spongiosis).[2] Allergic dermatitis Atopic dermatitis
Seborrheic dermatitis Typical findings:[5]
  • Focal, usually mild, spongiosis with overlying scale crust, with a few neutrophils
  • The crust is often centered on a follicle
  • The papillary dermis is generally mildly edematous
  • Dilated blood vessels in the superficial vascular plexus
  • Mild superficial perivascular infiltrate of lymphocytes, histiocytes and occasional neutrophils. There is some exocytosis of inflammatory cells but not as prominent as in nummular dermatitis
Typical findings:[5]
  • Psoriasiform hyperplasia, initially slight, with mild spongiosis
  • Usually numerous yeast-like organisms in the surface keratin
  • Same changes as seen in acute stage.
Typical findings:[5]
  • More pronounced psoriasiform hyperplasia
  • Only minimal spongiosis
  • Presence of scaling crusts in a folliculocentric distribution, distinguishes from psoriasis.

In addition to above, an unspecific spongiotic dermatitis can be consistent with nummular dermatitis, dyshidrotic dermatitis, Id reaction, dermatophytosis, miliaria, Gianotti-Crosti syndrome and pityriasis rosea.[2][notes 2]

Interface dermatitis

These are sorted into either:[2]

  • Interface dermatitis with vacuolar change
  • Interface dermatitis with lichenoid inflammation
Interface dermatitis with vacuolar change
Causes of vacuolar interface dermatitis
Main conditions[6] Characteristics Micrograph Photograph
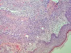
Generally/Not otherwise specified Typical findings, called "vacuolar interface dermatitis":[6]
  • Mild inflammatory cell infiltrate along the dermoepidermal junction (black arrow in image)
  • Vacuolization within the basal keratinocytes (white arrow in image)
  • Often necrotic, predominantly basal, individual keratinocytes, manifesting as colloid or Civatte bodies
Acute graft-versus-host-disease
  • Vacuolar alteration of various severity, from focal or diffuse vacuolation of the basal keratinocytes (grade I), to separation at the dermoepidermal junction (grade III)
  • Involvement of the hair follicle[6]
  • Rarely eosinophils[6]
Allergic drug reaction
  • Rarely involvement of hair follicles.[6]
  • Frequently eosinophils[6]
Lichen sclerosus Hyperkeratosis, atrophic epidermis, sclerosis of dermis and dermal lymphocytes.[7]
Erythema multiforme
Lupus erythematosis Typical findings in systemic lupus erythematosus:[8]
  • Fibrinoid necrosis at the dermoepidermal junction
  • Liquefactive degeneration and atrophy of the epidermis
  • Mucin deposition in the reticular dermis
  • Edema, small hemorrhages
  • Mild and mainly lymphocytic infiltrate in the upper dermis
  • Fibrinoid material in the dermis around capillary blood vessels, on collagen and in the interstitium
  • In non-bullous cases, perivascular and interstitial neutrophils are sometimes present in the upper dermis, with damage to blood vessels

An interface dermatitis with vacuolar alteration, not otherwise specified, may be caused by viral exanthems, phototoxic dermatitis, acute radiation dermatitis, erythema dyschromicum perstans, lupus erythematosus and dermatomyositis.[2]

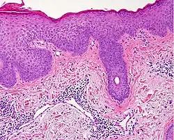
Interface dermatitis with lichenoid inflammation
Main conditions[2] Characteristics Micrograph Photograph
Generally/Not otherwise specified Typical findings:[2]
  • In the papillary dermis: a confluent, band-like, dense inflammation of mainly small lymphocytes and a few histiocytes, along or hugging the dermoepidermal junction.
  • Often vacuolar degeneration of basal keratinocytes and apoptotic bodies (colloid or Civatte bodies).
Lichen planus Irregular epidermal hyperplasia with a jagged “sawtooth” appearance, compact hyperkeratosis or orthokeratosis, foci of wedge-shaped hypergranulosis, basilar vacuolar degeneration, slight spongiosis in the spinous layer, and squamatization. The dermal papillae between the elongated rete ridges are frequently dome shaped. Necrotic keratinocytes can be observed in the basal layer of the epidermis and at the dermal-epidermal junction. Eosinophilic remnants of anucleate apoptotic basal cells may also be found in the dermis and are referred to as “colloid or civatte bodies”. Whickham striae are usually seen in the areas of hypergranulosis. Vacuolar degeneration at the basal layer may be noted leading to focal subepidermal clefts (Max Joseph spaces). Squamatization occurs as a result of maturation and flattening of cells in the basal layer. It happens in areas of marked hypergranulosis with prominence of the sawtooth pattern of rete ridges. Wedge-shaped hypergranulosis can occur in the eccrine ducts (acrosyringia) or hair follicles (acrotrichia). In the hypertrophic subtype, the associated hyperkeratosis, parakeratosis, hypergranulosis, papillomatosis, acanthosis, and hyperplasia markedly increased with thicker collagen bundles forming in the dermis. Moreover, the rete ridges are more elongated and rounded as opposed to the typical sawtooth pattern. In atrophic LP, loss of the rete ridges and dermal fibrosis is prominent. In vesiculobullous LP, the disease progression is quicker. Hence, some of the distinctive features such as hyperkeratosis, hypergranulosis, or dense lymphocytic dermal-epidermal infiltrate may not be present. LP lesion may resolve with residual hyperpigmentation caused by a persistent increase in the number of melanophages in the papillary dermis.[9]
Lichenoid drug reaction

Can virtually be indistinguishable from cutaneous LP both clinically and histopathologically.

  • Typically, lesions have a photodistribution in the absence of oral mucosal involvement.[9]
  • Characteristically parakeratosis, a dermal eosinophilic infiltrate, and a perivascular lymphocytic infiltrate affecting the reticular dermis.
  • Epidermal changes are less common in lichenoid drug eruptions when compared to classic lichen planus. However, a higher concentration of necrotic keratinocyte and eosinophils in the infiltrate can be helpful in distinguishing lichenoid drug reaction from cutaneous lichen planus. A lengthy interval between the commencement of drug therapy and the onset of lesions does not exclude a diagnosis of lichenoid drug reaction. Resolution of the lesions often occurs within weeks to months after discontinuation of the offending drug.[9]
Lichen nitidus
  • Localized granulomatous lymphohistiocytic infiltrate in an expanded dermal papilla
  • Thinning of overlying epidermis and downward extension of the rete ridges at the lateral margin of the infiltrate, resulting in a typical "claw clutching a ball" appearance.[10]
Lichen amyloidosis Presence of amyloid, possibly with direct immunofluorescence and Congo red staining.[11]
Congo red.

Interface dermatitis with lichenoid inflammation, not otherwise specified, can be caused by lichen planus-like keratosis, lichenoid actinic keratosis, lichenoid lupus erythematosus, lichenoid GVHD (chronic GVHD), pigmented purpuric dermatosis, pityriasis rosea, and pityriasis lichenoides chronica.[2] Unusual conditions that can be associated with a lichenoid inflammatory cell infiltrate are HIV dermatitis, syphilis, mycosis fungoides, urticaria pigmentosa, and post-inflammatory hyperpigmentation.[2] In cases of post-inflammatory hyperpigmentation, it is important to exclude potentially harmful mimics such as a regressed melanocytic lesion or lichenoid pigmented actinic keratosis.[2]

Psoriaform dermatitis

Examining multiple deeper levels is recommended if initial cuts do not correlate well with the clinical history.[2]

Psoriaform dermatitis typically displays:[2]

  • Regular epidermal hyperplasia, elongation of the rete ridges, hyperkeratosis, and parakeratosis.
  • Usually:A superficial perivascular inflammatory infiltrate
  • Often: Thinning of epidermal cells overlying the tips of dermal papillae (suprapapillary plates), and dilated, tortuous blood vessels within these papillae

Further histopathologic diagnosis is performed by the following parameters:

Psoriasiform dermatitis[2]
Condition Hyperkeratosis Parakeratosis Acanthosis Suprapapillary plate Granular cell layer changes Spinous cell layer changes Basal cell layer changes Other distinctive feature Micrograph Photograph
Psoriasis Present Diffuse Regular Thin Decreased or absent Increased mitoses; minimal spongiosis
Clubbed rete pegs[12][13]
Absent
  • Microabscesses
Psoriasiform drug reaction Present Focal Regular and irregular Normal or thick Normal Spongiosis; eosinophilic infiltrate Inflammatory cells; Civatte bodies
Chronic allergic/contact and atopic dermatitis Present Focal; crust may be present Irregular Normal or thick Normal Spongiosis; eosinophilic infiltrate Absent
Fungal infection Compact Focal; crust may be present Irregular Normal or thick Normal Occasional neutrophiles; Absent
Lichen simplex chronicus Present Focal; thick crust Regular or irregular Thin or thick Thickened; hypergranulosis ±minimal inflammatory infiltrate Absent
Scabies Present Focal or diffuse Irregular Normal or thick Normal Inflammatory infiltrate; eosinophilic spongiosis Absent
Seborrheic dermatitis and HIV dermatitis Present Focal Irregular Normal or thick Normal Spongiosis; lymphocytic and neutrophilic infiltrate Absent
Pityriasis rubra pilaris Compact Shoulder parakeratosis;[notes 3] alternating orthokeratosis and parakeratosis Regular or irregular Normal or thick Normal Spongiosis; lymphocytic infiltrate; rare acantholysis Occasional vacuolar change
Pityriasis rosea Present Focal Irregular Normal or thick Normal Small foci of spongiosis; lymphocytic infiltrate Occasional necrotic keratinocytes
Syphilis Present Focal Regular or irregular Normal or thick Normal Lymphocytes and neutrophils Interface change
Pityriasis lichenoides chronica Present Caps of parakeratosis Irregular Normal Normal Mild spongiosis, lymphocytic infiltrate; necrotic keratinocytes Necrotic keratinocytes
Mycosis fungoides Present Focal Regular or irregular Normal Normal Minimal or no spongiosis; ±Pautrier microabscess Atypical lymphoid cells lining the dermo–epidermal junction
Pautrier microabscesses

Non vesicullobullous, non-pustular lesions without epidermal changes

Lymphocytic infiltrate

Main conditions[2] Characteristics Micrograph Photograph
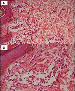
Urticaria, lymphocyte predominant Perivascular location. Mast cells are relatively sparse, potentially demonstrated with special stains, preferably tryptase stain. Extravasated erythrocytes are present in about 50% of the cases. No vasculitis.[14] Dermal edema [solid arrows in (A,B)] and a sparse superficial predominantly perivascular and interstitial infiltrate of lymphocytes and eosinophils without signs of vasculitis (dashed arrow).[15]
Fungal skin infection Often visible fungus. Other signs depend on fungus species.[16]
Pigmented purpuric dermatosis
  • Perivascular infiltrate, but may involve the dermis, further away from blood vessels.[17]
  • Sometimes tendency for lichenoid infiltrate[notes 4][17]
  • Mild vascular damage, mainly endothelial swelling and focal karyorrhectic debris.[17]
  • Red blood cell extravasation.[17]
  • The epidermis may be normal or may exhibit spongiosis, focal parakeratosis, exocytosis and/or vacuolar change.[17]
Erythema annulare centrifugum
  • Superficial types:[18]
  • Mild spongiosis, parakeratosis and microvesiculation.
  • "Coat-sleeve anomaly": tight lymphohistiocytic infiltrate surrounding superficial vessels

Deep lesions: Sharply demarcated perivascular mononuclear cell infiltrate in middle to deep dermis[18]

Not otherwise specified[notes 2] A lesion with superficial lymphocytic infiltrate without additional histopathologic characteristics can be due to for example drug reactions and insect bites.[2][notes 2]

Lymphoeosinophilic infiltrate

Main conditions[2] Characteristics Micrograph Photograph
Urticaria, lymphocyte predominant Perivascular location. Mast cells are relatively sparse, potentially demonstrated with special stains, preferably tryptase stain. Extravasated erythrocytes are present in about 50% of the cases. No vasculitis.[14] Dermal edema (solid arrows) and a sparse superficial predominantly perivascular and interstitial infiltrate of lymphocytes and eosinophils (dashed arrow)
Prevesicular stage of bullous pemphigoid Image at right shows influx of inflammatory cells including eosinophils and neutrophils in the dermis (solid arrow) and blister cavity (dashed arrows), and deposition of fibrin (asterisks).[15] However, the diagnosis of bullous pemphigoid consist of at least 2 positive results out of 3 criteria:[19]
  • Pruritus and/or predominant cutaneous blisters
  • Linear IgG and/or C3c deposits (in an n- serrated pattern) by direct immunofluorescence microscopy (DIF)
  • Positive epidermal side staining by indirect immunofluorescence microscopy on human salt-split skin (IIF SSS) on a serum sample.
Not otherwise specified[notes 2] A lesion with superficial lymphoeosinophilic infiltrate without additional histopathologic characteristics can be due to for example drug reactions and insect bites.[2][notes 2]

Lymphoplasmacytic infiltrate

Main conditions[2] Characteristics Micrograph Photograph
Rosacea Typically enlarged, dilated capillaries and venules located in the upper dermis, angulated telangiectasias, perivascular and perifollicular lymphocytic infiltration, and superficial dermal edema.[20]
Secondary syphilis Various, but often one or a combination of:[21]
  • Psoriasiform hyperplasia with superficial neutrophils
  • Lichenoid tissue reaction, epidermal apoptosis and exocytosis of neutrophils
  • Superficial and deep chronic infiltrate in the dermis
  • Often numerous plasma cells in about 1/3 of cases
  • Often endothelial swelling.
Erythema migrans Typically a superficial and deep perivascular lymphocytic infiltrate.[22] Plasma cells are typically located at the periphery of the lesion, whereas eosinophils are in the center.[22]
Kaposi’s sarcoma in patch stage The patch stage typically shows irregular proliferation of jagged vascular channels in the dermis below an integral epidermis. The so-called promontory sign is sometimes found in patch stage lesions and denotes vascular spaces surrounding pre-existing blood (see image).[23]

vessels

Not otherwise specified[notes 2] A lesion with superficial lymphoplasmacytic infiltrate without additional histopathologic characteristics can be due to for example trauma, ulceration, scar and early cutaneous connective tissue diseases.[2][notes 2]

Mastocytosis

Main conditions[2] Characteristics Micrograph Photograph
Urticaria pigmentosa Mastocytosis with a clinical picture of darkish spots.
Not otherwise specified[notes 2] Includes the rare disease of primary mastocytosis.[2][notes 2]

Lymphohistiocytic infiltrate

Leprosy

These include bacterial infections including leprosy, and the sample should therefore be stained with Ziel-Neelsen, acid fast stains, Gomori methenamine silver, PAS, and Fite stains.[2] If negative, an unspecific lymphohistocytic dermatosis may be caused by drug reactions and viral infections.[2][notes 2]

Neutrophilic infiltrate

Main conditions[2] Characteristics Micrograph Photograph
Urticaria, neutrophil predominant
  • Interstitial location[14]
  • Relatively dense infiltrate[14]
  • Mast cells are relatively sparse, potentially demonstrated with special stains, preferably tryptase stain.[14]
  • Extravasated erythrocytes are present in about 50% of the cases [14]
  • No vasculitis.[14]
Dermatitis herpetiformis
  • Subepidermal vesicles and blisters associated with accumulation of neutrophils at the papillary tips.[24]
  • Sometimes presence of eosinophils, giving an appearance similar to bullous pemphigoid.[24]
  • The histopathology is unspecific in approximately 35%–40% of the cases,[24] and direct immunofluorescence is needed, showing deposition of IgA in the papillary dermis in a granular or fibrillar pattern.[25]
Early linear IgA bullous dermatosis Subepidermal blister formation.[26]
Early febrile neutrophilic dermatosis (Sweet's syndrome) Neutrophilic and lymphohistiocytic infiltrate and edema.[27]
Connective tissue disorders
  • Usually associated with epidermal changes.[2] (Systemic lupus erythematosis pictured)
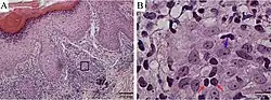
Cutaneous small-vessel vasculitis
  • Neutrophils with nuclear dust (dashed arrows in image), with high affinity for postcapillary venules.[28]
  • Features of vascular injury: fibrinoid necrosis (asterisks) and erytrocyt extravasation (solid arrows)

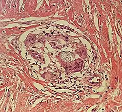
Multinucleated giant cells

Suture granuloma, with multinucleated giant cells surrounding (grey) suture material.
  • Foreign bodies indicate a foreign body granuloma.
  • Specific forms of multinucleated giant cells include the Touton giant cell, which contains a ring of nuclei surrounding a central homogeneous cytoplasm, with foamy cytoplasm surrounding the nuclei.[29][30] The central cytoplasm (surrounded by the nuclei) may be both amphophilic and eosinophilic.[31]

Notes

  1. ^ PAS is for evaluation of the epidermal basement membrane, blood vessels, and the presence of fungal organisms
  2. ^ a b c d e f g h i j k In "not otherwise specified" cases, a diagnosis may be reached by a review of the medical history and physical examination, based upon the potential conditions at hand.
  3. ^ Parakeratotic mounds at the edge of follicular ostia.
  4. ^ Pigmented purpuric dermatitis of Gougerot and Blum particularly have a tendency for lichenoid infiltrate.

Reference list

  1. ^ "Eczema". University of Maryland Medical Center. Archived from the original on 27 July 2016.
  2. ^ a b c d e f g h i j k l m n o p q r s t u v w x y z aa ab ac ad ae af ag ah ai aj Alsaad, K O (2005). "My approach to superficial inflammatory dermatoses". Journal of Clinical Pathology. 58 (12): 1233–1241. doi:10.1136/jcp.2005.027151. ISSN 0021-9746. PMC 1770784. PMID 16311340.
  3. ^ a b Katarzyna Lundmark, Krynitz, Ismini Vassilaki, Lena Mölne, Annika Ternesten Bratel. "Handläggning av hudprover – provtagningsanvisningar, utskärningsprinciper och snittning (Handling of skin samples - Instructions for sampling, cutting and incision" (PDF). KVAST (Swedish Society of Pathology). Archived from the original (PDF) on 2019-11-08. Retrieved 2019-09-09.{{cite web}}: CS1 maint: multiple names: authors list (link)
  4. ^ Page 678 in: Chhabra, Seema; Minz, RanjanaWalker; Saikia, Biman (2012). "Immunofluorescence in dermatology". Indian Journal of Dermatology, Venereology and Leprology. 78 (6): 677–691. doi:10.4103/0378-6323.102355. ISSN 0378-6323. PMID 23075636. S2CID 1331564.
  5. ^ a b c Mowafak Hamodat. "Skin inflammatory (nontumor) > Spongiotic, psoriasiform and pustular reaction patterns > Seborrheic dermatitis". PathologyOutlines.com. Topic Completed: 1 August 2011. Revised: 26 March 2019
  6. ^ a b c d e f Unless else specified in boxes, reference is: Alsaad, K O (2005). "My approach to superficial inflammatory dermatoses". Journal of Clinical Pathology. 58 (12): 1233–1241. doi:10.1136/jcp.2005.027151. ISSN 0021-9746.
  7. ^ Lisa K Pappas-Taffer. "Lichen Sclerosus". Medscape. Updated: May 17, 2018
  8. ^ Mowafak Hamodat. "Skin inflammatory (nontumor) > Lichenoid and interface reaction patterns > Lupus: systemic lupus erythematosus (SLE)". PathologyOutlines. Topic Completed: 1 August 2011. Revised: 26 March 2019
  9. ^ a b c Gorouhi, Farzam; Davari, Parastoo; Fazel, Nasim (2014). "Cutaneous and Mucosal Lichen Planus: A Comprehensive Review of Clinical Subtypes, Risk Factors, Diagnosis, and Prognosis". The Scientific World Journal. 2014: 1–22. doi:10.1155/2014/742826. ISSN 2356-6140. PMC 3929580. PMID 24672362.
    - Attribution 3.0 Unported (CC BY 3.0)
  10. ^ Al-Mutairi N, Hassanein A, Nour-Eldin O, Arun J (2005). "Generalized lichen nitidus". Pediatr Dermatol. 22 (2): 158–60. doi:10.1111/j.1525-1470.2005.22215.x. PMID 15804308. S2CID 6281902.
  11. ^ Shenoi, SD; Balachandran, C; Mehta, VandanaRai; Salim, T (2005). "Lichen amyloidosus: A study of clinical, histopathologic and immunofluorescence findings in 30 cases". Indian Journal of Dermatology, Venereology and Leprology. 71 (3): 166–169. doi:10.4103/0378-6323.16230. ISSN 0378-6323. PMID 16394404.
  12. ^ Kunz M, Ibrahim SM (2009). "Cytokines and cytokine profiles in human autoimmune diseases and animal models of autoimmunity". Mediators of Inflammation. 2009: 1–20. doi:10.1155/2009/979258. PMC 2768824. PMID 19884985.
  13. ^ Raychaudhuri SK, Maverakis E, Raychaudhuri SP (January 2014). "Diagnosis and classification of psoriasis". Autoimmunity Reviews. 13 (4–5): 490–5. doi:10.1016/j.autrev.2014.01.008. PMID 24434359.
  14. ^ a b c d e f g Barzilai, Aviv; Sagi, Lior; Baum, Sharon; Trau, Henri; Schvimer, Michael; Barshack, Iris; Solomon, Michal (2017). "The Histopathology of Urticaria Revisited—Clinical Pathological Study". The American Journal of Dermatopathology. 39 (10): 753–759. doi:10.1097/DAD.0000000000000786. ISSN 0193-1091. PMID 28858880. S2CID 45809524.
  15. ^ a b Giang, Jenny; Seelen, Marc A. J.; van Doorn, Martijn B. A.; Rissmann, Robert; Prens, Errol P.; Damman, Jeffrey (2018). "Complement Activation in Inflammatory Skin Diseases". Frontiers in Immunology. 9: 639. doi:10.3389/fimmu.2018.00639. ISSN 1664-3224. PMC 5911619. PMID 29713318.
  16. ^ Guarner, J.; Brandt, M. E. (2011). "Histopathologic Diagnosis of Fungal Infections in the 21st Century". Clinical Microbiology Reviews. 24 (2): 247–280. doi:10.1128/CMR.00053-10. ISSN 0893-8512. PMC 3122495. PMID 21482725.
  17. ^ a b c d e Stephen Lyle. "Pigmented purpuric dermatoses". Dermpedia.org. Retrieved 2019-11-05.
  18. ^ a b "Histology of erythema annulare centrifugum". DermNet NZ. Retrieved 2019-11-05.
  19. ^ Meijer JM, Diercks GF, de Lang EW, Pas HH, Jonkman MF (December 2018). "Assessment of diagnostic strategy for early recognition of bullous and nonbullous variants of pemphigoid". JAMA Dermatol. 155 (2): 158–165. doi:10.1001/jamadermatol.2018.4390. PMC 6439538. PMID 30624575.
  20. ^ Celiker, Hande; Toker, Ebru; Ergun, Tulin; Cinel, Leyla (2017). "An unusual presentation of ocular rosacea". Arquivos Brasileiros de Oftalmologia. 80 (6): 396–398. doi:10.5935/0004-2749.20170097. hdl:11424/241569. ISSN 0004-2749. PMID 29267579.
  21. ^ Assoc Prof Patrick Emanuel (2013). "Syphilis pathology". Dermnet NZ.
  22. ^ a b Wilson, Thomas C.; Legler, Allison; Madison, Kathi C.; Fairley, Janet A.; Swick, Brian L. (2012). "Erythema Migrans". The American Journal of Dermatopathology. 34 (8): 834–837. doi:10.1097/DAD.0b013e31825879be. ISSN 0193-1091. PMID 22722463.
  23. ^ Soyer, H. Peter; Jakob, Lena; Metzler, Gisela; Chen, Ko-Ming; Garbe, Claus (2011). "Non-AIDS Associated Kaposi's Sarcoma: Clinical Features and Treatment Outcome". PLOS ONE. 6 (4): e18397. Bibcode:2011PLoSO...618397J. doi:10.1371/journal.pone.0018397. ISSN 1932-6203. PMC 3075253. PMID 21533260.
  24. ^ a b c Antiga, Emiliano; Caproni, Marzia (2015). "The diagnosis and treatment of dermatitis herpetiformis". Clinical, Cosmetic and Investigational Dermatology. 8: 257–265. doi:10.2147/CCID.S69127. ISSN 1178-7015. PMC 4435051. PMID 25999753.
  25. ^ Huma A. Mirza; Amani Gharbi; William Gossman. (2022). "Dermatitis Herpetiformis". StatPearls at National Center for Biotechnology Information. PMID 29630215.{{cite journal}}: CS1 maint: multiple names: authors list (link) Last Update: July 11, 2019.
  26. ^ Saleem, Maryam; Iftikhar, Hassaan (2019). "Linear IgA Disease: A Rare Complication of Vancomycin". Cureus. 11 (6): e4848. doi:10.7759/cureus.4848. ISSN 2168-8184. PMC 6684112. PMID 31410331.
  27. ^ Casarin Costa, Jose Ricardo; Virgens, Anangelica Rodrigues; de Oliveira Mestre, Luisa; Dias, Natasha Favoretto; Samorano, Luciana Paula; Valente, Neusa Yuriko Sakai; Festa Neto, Cyro (2017). "Sweet Syndrome: Clinical Features, Histopathology, and Associations of 83 Cases". Journal of Cutaneous Medicine and Surgery. 21 (3): 211–216. doi:10.1177/1203475417690719. ISSN 1203-4754. PMID 28300447. S2CID 40797905.
  28. ^ Giang, Jenny; Seelen, Marc A. J.; van Doorn, Martijn B. A.; Rissmann, Robert; Prens, Errol P.; Damman, Jeffrey (2018). "Complement Activation in Inflammatory Skin Diseases". Frontiers in Immunology. 9: 639. doi:10.3389/fimmu.2018.00639. ISSN 1664-3224. PMC 5911619. PMID 29713318.
    • "Figures - available via license: CC BY 4.0"
  29. ^ Grant-Kels, Jane (2007). Color Atlas of Dermatopathology. City: Informa Healthcare. pp. 107, 119. ISBN 978-0-8493-3794-9.
  30. ^ Carmen Gómez-Mateo, Maria; Monteagudo, Carlos (2013). "Nonepithelial skin tumors with multinucleated giant cells". Seminars in Diagnostic Pathology. 30 (1): 58–72. doi:10.1053/j.semdp.2012.01.004. PMID 23327730.
  31. ^ Sequeira, Fiona; Gandhi, Suneil (2012). "Named cells in dermatology". Indian Journal of Dermatology, Venereology and Leprology. 78 (2): 207–16. doi:10.4103/0378-6323.93650. PMID 22421663.

Sources

 This article incorporates text from a free content work. Licensed under Creative Commons Attribution 4.0 International (CC BY 4.0) license. (license statement/permission). Text taken from Dermatitis​, Patholines.