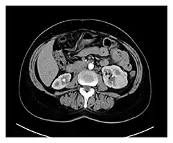
Preoperative contrasted CT scans of the patient, showing multiple bilateral kidney tumors, with diameters ranging between 1 and 5 cm. Radiologically, most of the tumors have malignant characteristics due to their hypervascularity and radiopaque enhancement.