Lobular carcinoma

Lobular carcinoma
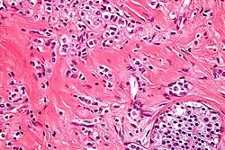
Micrograph of lobular carcinoma. H&E stain.

Lobular carcinoma is a form of tumor which primarily affects the lobules of a gland.

It is sometimes considered equivalent to "terminal duct carcinoma".[1]

If not otherwise specified, it generally refers to breast cancer. Examples include:

References