Nephromegaly
| Nephromegaly | |
|---|---|
![]() | |
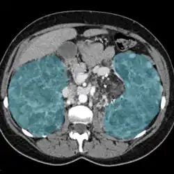
| Enlarged kidneys in blue | |
| Specialty | Nephrology |
Nephromegaly is the process whereby one or both kidneys become enlarged. It is defined as an enlargement of more than two standard deviations above the mean for age and body size of a particular individual. It can be caused by a variety of conditions including infiltrative disorders, metabolic conditions, cysts, and other diseases.
History
While the condition was not discovered by a single individual, English physician Richard Bright (1789–1858) developed an interest in the kidney diseases, which would lead to his 1827 Reports of such medical cases.[1]
Definition
Nephromegaly is the process whereby one or both kidneys become enlarged.[2] It is defined as an enlargement of more than two standard deviations above the mean for age and body size of a particular individual. In adults, as the normal kidney length is typically 10–12 cm (3.9–4.7 in), lengths above 13 cm (5.1 in) suggest a general enlargement.[3][4]
Causes
In adults, it can be caused by infiltrative hematologic diseases such as leukemia or mantle-cell lymphoma, which can invade both kidneys, causing marked enlargement.[5] It can be caused by cysts due to polycystic kidney disease, and diabetic nephropathy.[6][7] Acquired cystic disease and renal inflammation can lead to enlargement.[8] It can also be caused due to rare systemic conditions such as Kawasaki disease, and propionic acidemia.[9][10]
In children, it can be caused due to acute febrile urinary tract infections, which cause temporary kidney enlargement.[11] The enlargement leads to later renal scarring.[12] In infants, it can be a result of renal lymphangioma or an indication of Beckwith-Wiedemann syndrome.[13][14]
Diagnosis
A pelvic ultrasonography is used for visualizing the kidneys, and detecting their size, structure, and presence of edema, and cysts. Further imaging such as Computer Tomography, Magnetic Resonance Imaging, and PET-CT can assess masses and structural anomalies. Blood tests and biopsies may be required for further analysis.[15]
Treatment
The treatment plan depends on the underlying cause. In case of acute nephritis, antibiotics are used.[16] For urological obstruction, urgent urinary decompression is advised, often accompanied by pharmacological intervention.[17] For chronic diseases such as polycystic or chronic kidney diseases, the treatment involves a combination of drugs to treat infections,[18] control hypertension,[19] diuretics,[20] and regulation fluid and salt intakes.[21] For infiltrative diseases, from leukemia/lymphoma it requires systemic treatment such as chemotherapy.[22]
References
- ^ Garabed Eknoyan (April 2020). "On the Etymology of Nephritis: A Historical Appraisal of its Origins". J Am Soc Nephrol. 31 (6): 1170–1173. doi:10.1681/ASN.2019050510. PMC 7269360. PMID 32300068.
- ^ "Nephromegaly". Medcyclopaedia. Retrieved 1 May 2008.
- ^ Storm, Andrew; Bhasin, Bhavna; Rangachari, Deepa; Sperati, C. John (January 2014). "Quiz Page January 2014". American Journal of Kidney Diseases. 63 (1): A18 – A21. doi:10.1053/j.ajkd.2013.07.027. PMID 24360229.
- ^ Hansen, Kristoffer; Nielsen, Michael; Ewertsen, Caroline (23 December 2015). "Ultrasonography of the Kidney: A Pictorial Review". Diagnostics. 6 (1): 2. doi:10.3390/diagnostics6010002. PMC 4808817. PMID 26838799.
- ^ Tamura, Yoshifuru; Sumiyoshi, Ritsu; Yamamoto, Tadashi; Hayama, Yuto; Fujigaki, Yoshihide; Shibata, Shigeru; Sasajima, Yuko; Tashiro, Haruko (23 December 2021). "Bilateral nephromegaly due to direct leukemic cell invasion in the initial and relapse phases of T-cell acute lymphoblastic leukaemia: A case report". Medicine. 100 (51): e28391. doi:10.1097/MD.0000000000028391. PMC 8702269. PMID 34941173.
- ^ Wolf, Gunter; Sharma, Kumar; Ziyadeh, Fuad N. (2008). "Pathophysiology and Pathogenesis of Diabetic Nephropathy". Seldin and Giebisch's the Kidney. pp. 2215–2233. doi:10.1016/B978-012088488-9.50081-4. ISBN 978-0-12-088488-9.
- ^ "Causes of bilateral renal enlargement". Radiopaedia. 16 March 2012. Retrieved 17 June 2025.
- ^ Niyyar, Vandana Dua; Ross, Daniel W.; O’Neill, W. Charles (April 2024). "Performance and Interpretation of Sonography in the Practice of Nephrology: Core Curriculum 2024". American Journal of Kidney Diseases. 83 (4): 531–545. doi:10.1053/j.ajkd.2023.09.006. PMID 38108672.
- ^ Huang, Hsin-Ping; Lai, Yi-Chun; Tsai, I-Jung; Chen, Shih-Yu; Cheng, Chi-Hui; Tsau, Yong-Kwei (February 2008). "Nephromegaly in Children with Kawasaki Disease: New Supporting Evidence for Diagnosis and Its Possible Mechanism". Pediatric Research. 63 (2): 207–210. doi:10.1203/PDR.0b013e31815ef737. PMID 18091351.
- ^ Segolene Bernheim (2017). "Antenatal nephromegaly and propionic acidemia: a case report". BMC Nephrology. 18 (1) 110. doi:10.1186/s12882-017-0535-4. PMC 5372311. PMID 28359305.
- ^ Ishimori, Shingo; Fujimura, Junya; Nakanishi, Keita; Hattori, Kengo; Hirase, Satoshi; Matsunoshita, Natsuki; Kamiyoshi, Naohiro; Okizuka, Yo (20 August 2024). "Sonographic temporary nephromegaly in children during their first febrile urinary tract infection is a significant prognostic factor for recurrent infection". Scientific Reports. 14 (1): 19344. Bibcode:2024NatSR..1419344I. doi:10.1038/s41598-024-69588-w. PMC 11335903. PMID 39164342.
- ^ Cheng, Chi-Hui; Hang, Jen-Fan; Tsau, Yong-Kwei; Lin, Tzou-Yien (December 2011). "Nephromegaly is a Significant Risk Factor for Renal Scarring in Children With First Febrile Urinary Tract Infections". Journal of Urology. 186 (6): 2353–2358. doi:10.1016/j.juro.2011.07.112. PMID 22019042.
- ^ Pickering, S. P.; Fletcher, B. D.; Bryan, P. J.; Abramowsky, C. R. (1984). "Renal lymphangioma: A cause of neonatal nephromegaly". Pediatric Radiology. 14 (6): 445–448. doi:10.1007/BF02343441. PMID 6390324.
- ^ DeBaun, Michael R.; Siegel, Marilyn J.; Choyke, Peter L. (1998). "Nephromegaly in infancy and early childhood: A risk factor for Wilms tumor in Beckwith-Wiedemann syndrome". The Journal of Pediatrics. 132 (3). Elsevier BV: 401–404. doi:10.1016/s0022-3476(98)70009-5. PMID 9544890.
- ^ Hansen, K. L.; Nielsen, M. B.; Ewertsen, C. (2015). "Renal imaging modalities". Ncbi PMC. 6 (1): 2. doi:10.3390/diagnostics6010002. PMC 4808817. PMID 26838799.
- ^ Colgan, Richard; Williams, Mozella; Johnson, James R. (September 2011). "Diagnosis and Treatment of Acute Pyelonephritis in Women". American Family Physician. 84 (5): 519–526. PMID 21888302. Retrieved 17 June 2025.
- ^ Herness, Joel; Buttolph, Amelia; Hammer, Noa C. (August 2020). "Acute Pyelonephritis in Adults: Rapid Evidence Review". American Family Physician. 102 (3): 173–180. PMID 32735433. Retrieved 17 June 2025.
- ^ Masoumi, Amirali; Reed-Gitomer, Berenice; Kelleher, Catherine; Bekheirnia, Mir Reza; Schrier, Robert W. (11 April 2008). "Developments in the management of autosomal dominant polycystic kidney disease". Therapeutics and Clinical Risk Management. 4 (2): 393–407. doi:10.2147/tcrm.s1617. PMC 2504069. PMID 18728845.
- ^ Wüthrich, Rudolf P.; Kistler, Andreas D.; Rodriguez, Daniel; Kapoor, Sarika; Mei, Changlin (2015). "Blood Pressure Control for Polycystic Kidney Disease". Polycystic Kidney Disease. Codon Publications. ISBN 978-0-9944381-0-2. PMID 27512778.
- ^ "Guidelines". American Journal of Kidney Diseases. 43: 33–64. 2004. doi:10.1053/j.ajkd.2004.03.006.
- ^ Wolfgang Kuhn (2016). "The Treatment of Autosomal Dominant Polycystic Kidney Disease". Deutsches Ärzteblatt International. 36 (1): 884–890. doi:10.3238/arztebl.2015.0884. PMC 4736556. PMID 26900155.
- ^ Tamura, Y.; Sumiyoshi, R.; Yamamoto, T.; Hayama, Y.; Fujigaki, Y.; Shibata, S.; Sasajima, Y.; Tashiro, H. (2021). "Bilateral nephromegaly due to direct leukemic cell invasion in the initial and relapse phases of T-cell acute lymphoblastic leukaemia". Medicine. 100 (51): e28391. doi:10.1097/MD.0000000000028391. PMC 8702269. PMID 34941173.
