Radiologic sign

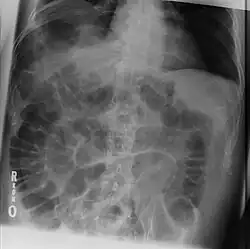
An X-ray image of the intestines, showing coiled loops that are darker on the left and right sides and lighter in the middle
The dark areas on both sides of the intestines indicate that air is present in both sides. This is called "Rigler's sign".

A radiologic sign is an objective indication of some medical fact (that is, a medical sign) that is detected by a physician during radiologic examination with medical imaging[1] (for example, via an X-ray, CT scan, MRI scan, or sonographic scan).

Examples

See also

References

  1. ^ Parker, Mark S.; Chasen, Marvin H.; Paul, Narinder (1 March 2009). "Radiologic Signs in Thoracic Imaging: Case-Based Review and Self-Assessment Module". American Journal of Roentgenology. 192 (3_supplement): S34 – S48. doi:10.2214/AJR.07.7081. ISSN 0361-803X. Retrieved 23 April 2019.
  2. ^ Gaillard, Frank. "Double decidual sac sign | Radiology Reference Article | Radiopaedia.org". Radiopaedia. Retrieved 9 May 2021.