TMEM212

TMEM212
Identifiers
AliasesTMEM212, transmembrane protein 212
External IDsMGI: 2685410; HomoloGene: 28471; GeneCards: TMEM212; OMA:TMEM212 - orthologs
Orthologs
SpeciesHumanMouse
Entrez

389177

208613

Ensembl

ENSG00000186329

ENSMUSG00000043164

UniProt

A6NML5

Q8C6V3

RefSeq (mRNA)

NM_001164436

NM_001164437

RefSeq (protein)

NP_001157908

NP_001157909

Location (UCSC)Chr 3: 171.84 – 171.94 MbChr 3: 27.92 – 27.95 Mb
PubMed search[3][4]
Wikidata
View/Edit HumanView/Edit Mouse

Transmembrane protein 212 is a protein that in humans is encoded by the TMEM212 gene.[5][6] The protein consists of five transmembrane domains and localizes in the plasma membrane and endoplasmic reticulum.[6] TMEM212 has orthologs in vertebrates but not invertebrates.[7][8] TMEM212 has been associated with sporadic Parkinson's disease, facial processing, and adiposity in African Americans.[9][10][11]

Gene

Chromosome 3 with gene TMEM212 labeled[12]

The TMEM212 gene is on chromosome 3 at position 3q26.3 and is located on the plus strand.[6][13] The gene is encoded from position 171,561,140 to 171,577,108.[14] Its longest isoform consists of 4 exons, a coding sequence of 1881 nucleotides, and an upstream in-frame stop codon.[5] The coding sequence is the 36-660 bases of the gene TMEM212. Other genes in the gene neighborhood include: PLD1, RNU6-348P and FNDC3B.[15]

Transcripts

The gene TMEM212 has 2 isoforms.[14] The mRNA splice variants of the TMEM212 vary at the last exon. One of the variants has spliced out part of the last exon—making it 537 nucleotides shorter.[14] This isofrom has a mRNA sequence of 1343 nucleotides. The later variant has not been acknowledged in NCBI.[13]

Figure 1: Conceptual Translation of Human Gene TMEM212 (NM_001164436.2)

Protein

TMEM212 has 5 transmembrane regions, making it a transmembrane protein.[5][16] The 5 transmembrane regions are primarily non-polar amino acids. However, 2 of the transmembrane regions contain a polar, charged amino acid.[5] The protein is 194 amino acids long and has a calculated molecular weight of 21kDa.[6] The isoelectric point is at approximately a pH of 8.[17][6] There are no internal repeats in the amino acid sequence of TMEM212.[18][19] In addition, all amino acids are in normal abundance.[18] Human TMEM212 displays a similar molecular weight and isoelectric point to its orthologs as displayed in Table 1.

TMEM212 Protein Topology. Yellow represents potential signal cleavage peptide. Green presents amino acids with potential disulfide bonds. Blue numbers indicate transmembrane region.

Table 1: TMEM212 Protein Characteristics in Humans and Orthologs

Organism Accession # Molecular weight Isoelectric Point
Human NP_001157908.1 21kDa 8.2
Mouse NP_001157909.1 21kDa 7.6
Black Swan XP_035413176.1 21kDa 6.1
Whale Shark XP_020372667.1 20 kDa 9.1

Secondary and Tertiary Structure

Phyre 2 and Ali2D predict TMEM212 to have a secondary structure rich in alpha helices, specifically in the transmembrane regions.[20][21] The alpha helices were conserved in orthologs from mammals to reptiles.[21] Additionally, DiANNA predicts TMEM212 to consist of 3 disulfide bonds between 6 cysteine amino acids: C46-C88, C105-C154, and C135-C16.[22] The tertiary structure has 5 regions within the membrane.[23][16][24]

Gene Level Regulation

Promoter

Microarray-assessed tissue expression patterns of Human TMEM212 from NCBI GEO

According to Genomatix, TMEM212 has 3 possible promoters. However, the most likely promoter for TMEM212 is directly upstream the Gene of TMEM212 and is 1654 base pairs (GXP_277729).[25]

Expression

TMEM212 RNA is expressed lowly and ubiquitously in most tissue types (GDS1096).[26] TMEM212 is expressed at a slightly higher level in the ovaries, brain, lungs, heart, kidneys, testes.[14] TMEM212 was expressed in specific parts of the brain including the pons and trigeminal ganglion.[26] Other tissues with moderate expression included the adrenal cortex and the appendix. In all available RNA-sequencing data shows TMEM212 is found in the lungs.[13]

Transcript Level Regulation

The 5' untranslated region is 35 base pairs long. The 3' untranslated region is 1221 base pairs in length and is located from base 661 to 1881.[5] The lowest energy structure was predicted for the 5' UTR and 3' UTR. Because of the short length, the 5' UTR was predicted to have 1 stem-loop. The 3' UTR is predicted to have 17 stem-loops.[27]

Annotated RNA Secondary Structure of Human TMEM212 5' UTR
Annotated RNA Secondary Structure of Human TMEM212 3'UTR

Protein Level Regulation

Modification

It is predicted that TMEM212 have two sulfation sites and one phosphorylation site.[28][29] There is a potential cleavage signal peptide between amino acids 23 and 24.[30] The presence of the phosphorylation site and cleavage signal peptide is common among orthologs.

Schematic Model of Protein TMEM212. Blue boxes indicate transmembrane region. Red marker indicates phosphorylation site. Grey markers indicate sulfation site. Grey line indicates cleavage signal peptide.

Subcellular Localization

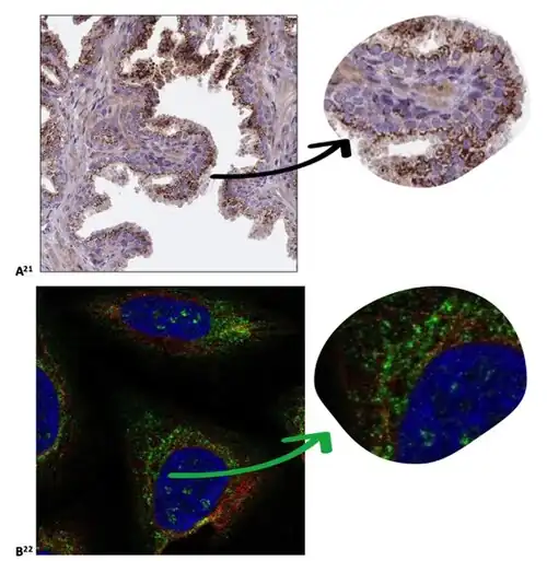
The primary subcellular locations include the plasma membrane and endoplasmic reticulum.[6] The subcellular location of TMEM212 is conserved in orthologs. Immunofloursecent staining of TMEM212 antibodies show that TMEM212 is present in the nucleus, but the reason remains unknown.[31] TMEM212 is less abundant than most proteins in humans.[32]

Immunohistochemistry of stained prostate of TMEM212; Immunofluorescent staining of TMEM212 antibodies in human cell.

Evolution

Paralog

TMEM212 has one known paralog: Membrane-spanning 4 domains A7 (MS4A7).[6] The gene is located on chromosome 11 at 11q12.2. MS4A7 likely evolved from TMEM212 435-475 million years ago. This is shown on the right where the divergence rates of different proteins are compared.

Corrected Sequence Divergence vs Estimated Date of Divergence. Blue indicates TMEM212. Orange indicates Cytochrome C. Grey indicates Fibrinogen alpha. Yellow indicates paralog MS4A7. Black dashed line estimates MS4A7 divergence from TMEM212.
Multiple Sequence Alignment of strict orthologs of Human TMEM212 (NP_001157908). Amino acids shaded based on similarity. Orange boxes indicate transmembrane region.

Orthologs

TMEM212 in Homo sapiens is highly conserved. It is found in vertebrates but not invertebrates and has many orthologs including mammals, birds, reptiles, amphibians and fish.[7][33][8] Table 2 below shows orthologs of TMEM212 in mammals, reptiles, birds, amphibians and fish. As displayed in the multiple sequence alignment to the right, strict orthologs such as mammals and reptiles have highly conserved regions. Most of the conserved areas fell where transmembrane regions are localized. TMEM212 is evolving moderately quickly compared to reference sequences Cytochrome C and Fibrinogen alpha. This is shown to the right when comparing the divergence rates of TMEM212, MS4A7, Cytochrome C, and Fibrinogen Alpha.

Table 2: Selected Orthologs of Human TMEM212
Genus and Species Common Name Taxonomic Group Median Date of Divergence (MYA*) Accession # Sequence Length (aa) Sequence Identity to Human Protein (%) Sequence Similarity to Human Protein (%)
Homo sapiens Humans Primates 0 NP_001157908.1 194 100.0 100.0
Pan troglodytes Chimpanzee Primates 6.4 * PNI77830.1 194 99.5 99.5
Mus musculus House Mouse Rodentia 89 NP_001157909.1 194 75.8 82.5
Orcinus orca Orca Whale Cetacea 94 XP_033285415.1 183 76.8 84.5
Suricata suricatta Meercat Carnivora 94 XP_029796633.1 195 74.6 81.0
Chelydra serpentina Common Snapping Turtle Testudines 318 KAG6939202.1 194 64.9 74.2
Sceloporus undulatus Eastern Fence Lizard Squamata 318 XP_042315631.1 184 60.3 72.7
Crocodylus porosus Saltwater Crocodile Crocodylia 318 XP_019388281.1 186 57.7 70.6
Python bivittatus Burmese Python Serpentes 318 XP_007424363.2 182 53.1 68.6
Cygnus atrat Black Swan Anseriformes 318 XP_035413176.1 196 53.1 64.3
Apteryx mantelli North Island Brown Kiwi Struthioniformes 318 XP_013800634.1 200 49.1 59.3
Tyto alba Barn Owl Strigiformes 318 KFV59051.1 198 44.9 56.6
Rhinatrema bivittatum Two-lined Caecilians Gymnophiona 352 XP_029472601.1 197 61.4 75.1
Geotrypetes seraphini Gaboon Caecilian Caeciliidae 352 XP_033815221.1 197 57.9 75.1
Xenopus laevis African Clawed Frog Pipidae 352 XP_018119180.1 183 51.5 70.6
Xenopus tropicalis Western Clawed Frog Pipidae 352 XP_002931615.2 187 50.0 70.1
Erpetoichthys calabaricus Reedfish Polypteriformes 433 XP_028648077.1 187 50.0 64.4
Polyodon spathula American Paddlefish Acipenseriformes 433 XP_041127156.1 191 50.0 63.9
Amia calva Bowfin Amiiformes 433 MBN3298530.1 198 43.7 57.8
Rhincodon typus Whale Shark Orectolobiformes 465 XP_020372667.1 180 48.5 61.3
Amblyraja radiata Thorny Skate Rajiformes 465 XP_032886885.1 190 41.7 60.8
Petromyzon marinus Sea Lamprey Petromyzontiformes 599 XP_032834400.1 190 38.3 51.2

*MYA = Millions of Years Ago

Interacting Proteins

Three proteins were revealed to potentially interact with TMEM212: TMEM45A, GPR137C, and HNRNPL.[34][35][36][37] These proteins were identified experimentally through co-expression or affinity capture-RNA. They were also identified using textmining. TMEM45A and GPR137 are also found in the plasma membrane, similar to TMEM212 making this interaction likely.[38][39]

Table 3: Proteins that Interact with TMEM212

Abbreviated Name Full Name Basis of Identification Function
TMEM45A Transmembrane protein 45A co-expression,[35] textmining[34] enables protein binding
GPR137C G protein-coupled receptor 137C co-expression,[35] textmining[34] involved in cell signaling and regulation of protein TORC1
HNRNPL Heterogeneous nuclear ribonucleoprotein L affinity capture-RNA[37][36] formation, packaging and processing of mRNA

Clinical Significance

TMEM212 may be associated with adiposity in African Americans, facial processing, and sporadic Parkinson's disease.[9][10][11] Increases in TMEM212 (mrna or protein) and high BMI in African Americans have shown a link because SNPs at a locus near TMEM212 have been associated with increased adiposity.[11] Moreover, gene TMEM212 may also be involved in facial processing. Facial processing is genetically controlled, and in response to facial expressions, a common SNP found in TMEM212 led to the activation of the right fusiform gyrus area of the brain, which is important for facial processing.[10] This specifically happened at 3q26.31. The SNP is number rs12485367. People with a G alle had higher activation compared to C homozygotes.[10] TMEM212 may also be associated with Parkinson's Disease. Alterations in the SNP rs2270568 (Chromosome 3 position 172048861) in the TMEM212 gene changing the base T to C was associated with and increased incidence of Sporadic Parkinson's Disease.[9]

References

  1. ^ a b c GRCh38: Ensembl release 89: ENSG00000186329Ensembl, May 2017
  2. ^ a b c GRCm38: Ensembl release 89: ENSMUSG00000043164Ensembl, May 2017
  3. ^ "Human PubMed Reference:". National Center for Biotechnology Information, U.S. National Library of Medicine.
  4. ^ "Mouse PubMed Reference:". National Center for Biotechnology Information, U.S. National Library of Medicine.
  5. ^ a b c d e "Homo sapiens transmembrane protein 212 (TMEM212), mRNA". NCBI- Nucleotide (National Center for Biotechnology Information). 3 June 2022.
  6. ^ a b c d e f g "TMEM212 Gene". GeneCards.
  7. ^ a b "OMA group 956872 members". omabrowser.org. Retrieved 2021-12-18.
  8. ^ a b "EggNOG Database | Orthology predictions and functional annotation". eggnog5.embl.de. Retrieved 2021-12-18.
  9. ^ a b c Wang B, Liu X, Xu S, Liu Z, Zhu Y, Zhang X, Xu R (2021-01-12). "Sporadic Parkinson's Disease Potential Risk Loci Identified in Han Ancestry of Chinese Mainland". Frontiers in Aging Neuroscience. 12: 603793. doi:10.3389/fnagi.2020.603793. PMC 7835639. PMID 33510632.
  10. ^ a b c d Brown AA, Jensen J, Nikolova YS, Djurovic S, Agartz I, Server A, et al. (July 2012). "Genetic variants affecting the neural processing of human facial expressions: evidence using a genome-wide functional imaging approach". Translational Psychiatry. 2 (7): e143. doi:10.1038/tp.2012.67. PMC 3410629. PMID 22828495.
  11. ^ a b c Ng MC, Hester JM, Wing MR, Li J, Xu J, Hicks PJ, et al. (March 2012). "Genome-wide association of BMI in African Americans". Obesity. 20 (3): 622–627. doi:10.1038/oby.2011.154. PMC 3291470. PMID 21701570.
  12. ^ "Genome Decoration Page". www.ncbi.nlm.nih.gov. Archived from the original on October 7, 2011. Retrieved 2021-12-18.
  13. ^ a b c "TMEM212 transmembrane protein 212 [Homo sapiens (human)] - Gene - NCBI". www.ncbi.nlm.nih.gov. Retrieved 2021-12-18.
  14. ^ a b c d "Homo sapiens gene TMEM212, encoding transmembrane protein 212". Ace View.
  15. ^ "GeneLoc Integrated Map for Chromosome 3: Search Results". genecards.weizmann.ac.il. Retrieved 2021-12-18.
  16. ^ a b "TMEM212 - Transmembrane protein 212 - Homo sapiens (Human) - TMEM212 gene & protein". www.uniprot.org. Retrieved 2021-12-18.
  17. ^ "ExPASy - Compute pI/Mw tool". web.expasy.org. Retrieved 2021-12-15.
  18. ^ a b "SAPS < Sequence Statistics < EMBL-EBI". www.ebi.ac.uk. Retrieved 2021-12-18.
  19. ^ Junier T, Pagni M (February 2000). "Dotlet: diagonal plots in a web browser". Bioinformatics. 16 (2): 178–179. doi:10.1093/bioinformatics/16.2.178. PMID 10842741.
  20. ^ "Phyre 2 Results for Undefined". www.sbg.bio.ic.ac.uk. Archived from the original on 2021-12-18. Retrieved 2021-12-18.
  21. ^ a b "Bioinformatics Toolkit". toolkit.tuebingen.mpg.de. Retrieved 2021-12-18.
  22. ^ "DiANNA". clavius.bc.edu. Archived from the original on 2022-07-24. Retrieved 2021-12-18.
  23. ^ "transmembrane protein 212 [Homo sapiens] - Protein - NCBI". www.ncbi.nlm.nih.gov. Retrieved 2021-12-18.
  24. ^ "Protter - interactive protein feature visualization". wlab.ethz.ch. Retrieved 2021-12-18.
  25. ^ "Genomatix Software Suite". Precigen Bioinformatics Germany. December 2021.
  26. ^ a b "GDS1096 / 217016_x_at". www.ncbi.nlm.nih.gov. Retrieved 2021-12-18.
  27. ^ "RNA Folding Form". www.unafold.org. Retrieved 2021-12-18.
  28. ^ Monigatti F, Gasteiger E, Bairoch A, Jung E (May 2002). "The Sulfinator: predicting tyrosine sulfation sites in protein sequences". Bioinformatics. 18 (5): 769–770. doi:10.1093/bioinformatics/18.5.769. PMID 12050077.
  29. ^ "Services". Retrieved 2021-12-18.
  30. ^ "PSORT II Prediction". psort.hgc.jp. Retrieved 2021-12-18.
  31. ^ "TMEM212 Antibody (PA5-65415)". www.thermofisher.com. Retrieved 2021-12-18.
  32. ^ "PAXdb: Protein Abundance Database". pax-db.org. Retrieved 2021-12-18.
  33. ^ "Query: Hsa_TMEM212". NCBI Blast.
  34. ^ a b c Ren W, Aihara E, Lei W, Gheewala N, Uchiyama H, Margolskee RF, et al. (June 2017). "Transcriptome analyses of taste organoids reveal multiple pathways involved in taste cell generation". Scientific Reports. 7 (1): 4004. Bibcode:2017NatSR...7.4004R. doi:10.1038/s41598-017-04099-5. PMC 5479815. PMID 28638111.
  35. ^ a b c "TMEM212 protein (human) - STRING interaction network". string-db.org. Retrieved 2021-12-18.
  36. ^ a b Fei T, Chen Y, Xiao T, Li W, Cato L, Zhang P, et al. (June 2017). "Genome-wide CRISPR screen identifies HNRNPL as a prostate cancer dependency regulating RNA splicing". Proceedings of the National Academy of Sciences of the United States of America. 114 (26): E5207 – E5215. Bibcode:2017PNAS..114E5207F. doi:10.1073/pnas.1617467114. PMC 5495225. PMID 28611215.
  37. ^ a b "TMEM212 Result Summary | BioGRID". thebiogrid.org. Retrieved 2021-12-18.
  38. ^ "TMEM45A". www.genecards.org. Retrieved 2021-12-18.
  39. ^ "GPR137C G protein-coupled receptor 137C [Homo sapiens (human)] - Gene - NCBI". www.ncbi.nlm.nih.gov. Retrieved 2021-12-18.