Trichoepithelioma

Trichoepithelioma
Other namesBrooke's tumour Epithelioma adenoides cysticum .
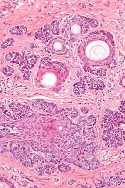
Micrograph of a trichoepithelioma. H&E stain.
SpecialtyDermatology
Usual onsetusually young adults
Diagnostic methodClinical history and examination are important. In a significant number of patients there is a familial trait. Examination will white, translucent, slightly raised papules which have a pearly white appearance.
TreatmentAny suspicicion of malignant change calls for adequate excision and histological examination. The only other reason for treatment is cosmetic . Partial destruction is usually followed by regrowth. Many treatment modalities may be used including surgical excision, curettage, cryotherapy and dermabrasion. High-energy pulsed carbon dioxide laser has also been advocated as a useful treatment.

Trichoepithelioma is a neoplasm of the adnexa of the skin.[1] Its appearance is similar to basal cell carcinoma.

One form has been mapped to chromosome 9p21.[2]

Types

Trichoepitheliomas may be divided into the following types:[3]: 672 

Pathology

Trichoepitheliomas consists of nests of basaloid cells, with palisading. They lack the myxoid stroma and artefactual clefting seen in basal cell carcinoma. Mitoses are uncommon when compared to basal cell carcinoma.

Diagnosis

Trichoepiteliomas often contain Merkel cells; an immunostain for CK20 can be used to demonstrate this.[4]

See also

References

  1. ^ "Trichoepithelioma: Overview - eMedicine Dermatology". Retrieved 2009-02-11.
  2. ^ Salhi A, Bornholdt D, Oeffner F, et al. (August 2004). "Multiple familial trichoepithelioma caused by mutations in the cylindromatosis tumor suppressor gene". Cancer Res. 64 (15): 5113–7. doi:10.1158/0008-5472.CAN-04-0307. PMID 15289313. S2CID 16609272.
  3. ^ James, William D.; Berger, Timothy G.; et al. (2006). Andrews' Diseases of the Skin: Clinical Dermatology. Saunders Elsevier. ISBN 0-7216-2921-0.
  4. ^ Stanoszek, Lauren M.; Wang, Grace Y.; Harms, Paul W. (2017-11-01). "Histologic Mimics of Basal Cell Carcinoma". Archives of Pathology & Laboratory Medicine. 141 (11): 1490–1502. doi:10.5858/arpa.2017-0222-RA. ISSN 0003-9985. PMID 29072946.