Ulnar dysplasia
| Ulnar dysplasia | |
|---|---|
| Other names | Ulnar hypoplasia/aplasia, congenital ulnar deficiency[1] |
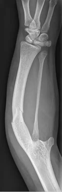
![]() | |
| Ulnar hypoplasia | |
| Specialty | Medical genetics |
| Symptoms | Missing or underdeveloped ulnae bone |
| Complications | Grip, arm movement |
| Usual onset | Birth |
| Duration | Life-long |
| Causes | Genetic mutation, problem during embryonic life |
| Diagnostic method | Physical evaluation, X-ray |
| Frequency | very rare, occurs in about 1 in 100,000 live births |
Ulnar dysplasia also known as ulnar longitudinal deficiency, ulnar club hand or ulnar aplasia/hypoplasia is a rare congenital malformation which consists of an underdeveloped or missing ulnae bone, causing an ulnar deviation of the entire wrist. The muscles and nerves in the hand may be missing or unbalanced. In severe cases, ulnar digits (e.g. ring and pinky finger) may be missing. Sometimes, radial dysplasia occurs alongside this malformation.[2] This condition occurs in 1 in 100,000 live births.[3][4][5][6] Sometimes, other orthopedic problems occur alongside this malformation, such as scoliosis.[7]
Types
There are four types of ulnar dysplasia:[8][9]
Type 1: The mildest type of ulnar dysplasia. The ulnae is slightly shorter than average and there is a barely noticeable wrist deviation
Type 2: The ulnae is moderately-severely smaller than normal. The radius is deviated and so is the hand
Type 3: The ulnae is completely missing. The radius is even more deviated, causing a severe ulnar deviation of the hand.
Type 4: The most severe type of ulnar dysplasia, the ulnae is completely missing, and the wrist is severely deviated. The elbow bones are fused together, so the elbow has reduced mobility
See also
References
- ^ Jerome, Terrence Jose; Prabu, Ramesh; Terrence, Thirumagal Kuppusamy (2020). "A New Variant of Type I Congenital Ulna Deficiency with the Normal Thumb, Webspace, Hand, and Elbow". Cureus. 12 (12): e12261. doi:10.7759/cureus.12261. PMC 7826292. PMID 33510979.
- ^ Malik, Sajid; Afzal, Muhammad (September 2013). "Ulnar aplasia, dysplastic radius and preaxial oligodactyly: Rare longitudinal limb defect in a sporadic male child". Journal of Research in Medical Sciences. 18 (9): 818–821. ISSN 1735-1995. PMC 3872594. PMID 24381628.
- ^ "Ulnar Longitudinal Deficiency | Boston Children's Hospital". www.childrenshospital.org. Retrieved 2022-05-14.
- ^ Malik, Sajid; Afzal, Muhammad (September 2013). "Ulnar aplasia, dysplastic radius and preaxial oligodactyly: Rare longitudinal limb defect in a sporadic male child". Journal of Research in Medical Sciences. 18 (9): 818–821. ISSN 1735-1995. PMC 3872594. PMID 24381628.
- ^ "Eurorad.org". Eurorad - Brought to you by the ESR. Retrieved 2022-05-14.
- ^ Guglielmi, G.; Kuijk, C. van; Genant, H. K. (2012-12-06). Fundamentals of Hand and Wrist Imaging. Springer Science & Business Media. ISBN 978-3-642-56917-3.
- ^ "Ulnar Longitudinal Deficiency - Stanford Children's Health". www.stanfordchildrens.org. Retrieved 2022-05-14.
- ^ "Ulnar Dysplasia". Connecticut Children's. Retrieved 2022-05-14.
- ^ "Ulnar Dysplasia (for Parents) - Nemours KidsHealth". kidshealth.org. Retrieved 2022-05-14.
