Weissella
| Weissella | |
|---|---|
| |
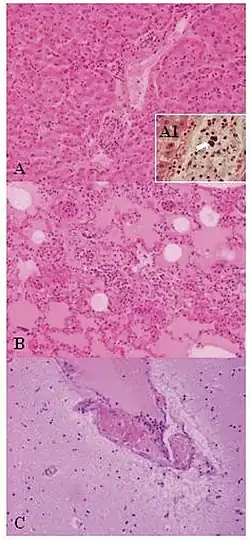
| Lesions of Weissella confusa in the mona monkey (hematoxylin and eosin stain): A) liver: portal triads with neutrophilic infiltration (x10); A1, presence of bacterial emboli inside the vein (arrow) (x40). B) acute pneumonia: edema, congestion, and leukocyte cells exudation in the pulmonary alveoli (x10). C) encephalitis: congestion and marginalized neutrophils in nervous vessels (x10) | |
| Scientific classification | |
| Domain: | Bacteria |
| Kingdom: | Bacillati |
| Phylum: | Bacillota |
| Class: | Bacilli |
| Order: | Lactobacillales |
| Family: | Lactobacillaceae |
| Genus: | Collins et al. 1994[1] |
| Type species | |
| Weissella viridescens (Niven and Evans 1957) Collins et al. 1994[1]
| |
Weissella[2] is a genus of gram-positive bacteria placed within the family Lactobacillaceae, formerly considered species of the Leuconostoc paramesenteroides group.[1] The morphology of Weissella species varies from spherical or lenticular cells to irregular rods. Several strains of Weissella cibaria and Weissella confusa have shown probiotic potential.[3] In particular, the cell-free culture supernatant of Weissella confusa shows a number of beneficial characteristics, such as antibacterial potential and anti-inflammatory efficiency.[4] However, several strains of W. confusa are opportunistic bacteria. A number of studies have been done on the safety of the bacterial species, indicating their probiotic potential.[5][6] The Senate Commission on Food Safety has validated the use of W. confusa in food.[7]
Species
The genus Weissella comprises the following species:[8]
- Weissella bombi Praet et al. 2015
- Weissella ceti Vela et al. 2011
- Weissella cibaria Björkroth et al. 2002
- Weissella coleopterorum Hyun et al. 2021
- Weissella confusa corrig. (Holzapfel and Kandler 1969) Collins et al. 1994
- Weissella diestrammenae Oh et al. 2013
- Weissella fangxianensis Xiang et al. 2023
- Weissella halotolerans (Kandler et al. 1983) Collins et al. 1994
- Weissella hellenica Collins et al. 1994
- Weissella kandleri (Holzapfel and van Wyk 1983) Collins et al. 1994
- Weissella koreensis Lee et al. 2002
- Weissella minor (Kandler et al. 1983) Collins et al. 1994
- Weissella muntiaci Lin et al. 2020
- Weissella oryzae Tohno et al. 2013
- Weissella paramesenteroides (Garvie 1967) Collins et al. 1994
- Weissella sagaensis Li et al. 2020
- Weissella soli Magnusson et al. 2002
- Weissella thailandensis Tanasupawat et al. 2000
- Weissella uvarum Nisiotou et al. 2014
- Weissella viridescens (Niven and Evans 1957) Collins et al. 1994
Phylogeny
The currently accepted (2021) taxonomy is based on the List of Prokaryotic names with Standing in Nomenclature[8] and the phylogeny is based on whole-genome sequences.[9]
| |||||||||||||||||||||||||||||||||||||||||||||||||||||||
References
- ^ a b c Collins, M.D.; Samelis, J.; Metaxopoulos, J.; Wallbanks, S. (1993). "Taxonomic studies on some leuconostoc-like organisms from fermented sausages: Description of a new genus Weissella for the Leuconostoc paramesenteroides group of species". Journal of Applied Microbiology. 75 (6): 595–603. doi:10.1111/j.1365-2672.1993.tb01600.x. ISSN 1364-5072. PMID 8294308.
- ^ Björkroth, Johanna; Holzapfel, Wilhelm (2006). "Genera Leuconostoc, Oenococcus and Weissella". The Prokaryotes. pp. 267–319. doi:10.1007/0-387-30744-3_9. ISBN 978-0-387-25494-4.
- ^ Lee, Kang Wook; Park, Ji Yeong; Jeong, Hee Rok; Heo, Ho Jin; Han, Nam Soo; Kim, Jeong Hwan (2012). "Probiotic properties of Weissella strains isolated from human faeces". Anaerobe. 18 (1): 96–102. doi:10.1016/j.anaerobe.2011.12.015. PMID 22200451. S2CID 30531783.
- ^ Dey, Debasish Kumar; Khan, Imran; Kang, Sun Chul (2019). "Anti-bacterial susceptibility profiling of Weissella confusa DD_A7 against the multidrug-resistant ESBL-positive E. coli". Microbial Pathogenesis. 128: 119–130. doi:10.1016/j.micpath.2018.12.048. PMID 30597254. S2CID 58591071.
- ^ Panthee, S; Paudel, A; Blom, J; Hamamoto, H; Sekimizu, K (2019). "Complete genome sequence of Weissella hellenica 0916-4-2 and its comparative genomic analysis". Frontiers in Microbiology. 10: 1619. doi:10.3389/fmicb.2019.01619. PMC 6667553. PMID 31396169.
- ^ Dey, Debasish Kumar; Koo, Bon Gyo; Sharma, Chanchal; Kang, Sun Chul (2019). "Characterization of Weissella confusa DD_A7 isolated from kimchi". LWT. 111: 663–672. doi:10.1016/j.lwt.2019.05.089. S2CID 182815194.
- ^ Vogel, R. F.; Hammes, W. P.; Habermeyer, M.; Engel, K. H.; Knorr, D.; Eisenbrand, G.; Senate Commission on Food Safety (SKLM) of the German Research Foundation (2011). "Microbial food cultures--opinion of the Senate Commission on Food Safety (SKLM) of the German Research Foundation (DFG)". Molecular Nutrition & Food Research. 55 (4): 654–62. doi:10.1002/mnfr.201100010. PMID 21351251.
- ^ a b Euzéby JP, Parte AC. "Weissella". List of Prokaryotic names with Standing in Nomenclature (LPSN). Retrieved July 21, 2025.
- ^ Zheng J, Wittouck S, Salvetti E, Franz CM, Harris HM, Mattarelli P, O'Toole PW, Pot B, Vandamme P, Walter J, Watanabe K, Wuyts S, Felis GE, Gänzle MG, Lebeer S (2020). "A taxonomic note on the genus Lactobacillus: Description of 23 novel genera, emended description of the genus Lactobacillus Beijerinck 1901, and union of Lactobacillaceae and Leuconostocaceae". Int J Syst Evol Microbiol. 70 (4): 2782–2858. doi:10.1099/ijsem.0.004107. hdl:10067/1738330151162165141. PMID 32293557.
